下载或打开 医联APP 查看完整评论
立即下载
打开APP
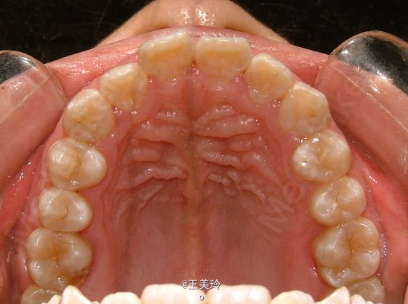
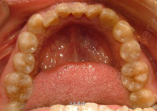
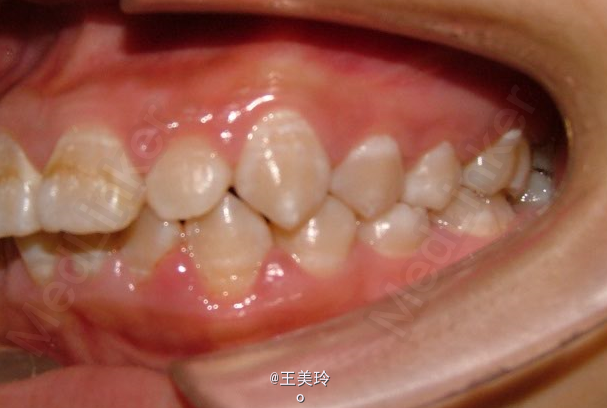
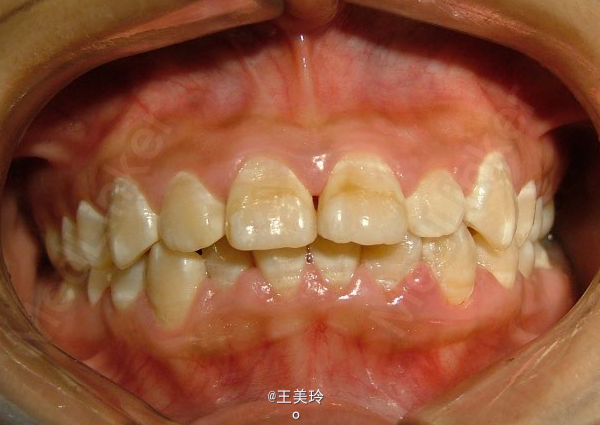
主诉:面突求矫治 既往史:无矫治史,无牙科治疗史,无外伤史,无过敏史,无口腔不良习惯,无家族遗传史 口腔检查:恒牙列,A7-B7;C7-D7。个别牙齿不齐 尖牙磨牙I类关系轻度深覆合深覆盖 下颌中线右偏约2mm 双颌前突,突面型 关节无弹响无压痛







诊断:安氏I类双颌前突 矫治计划 1.MBT矫治技术 2.拔牙矫治,拔A4B4C4D4 3.闭隙曲,J勾内收前牙 4.矫治结束后尖牙,磨牙,覆合覆盖正常 5.面型有所改善






