下载或打开 医联APP 查看完整评论
立即下载
打开APP
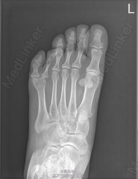
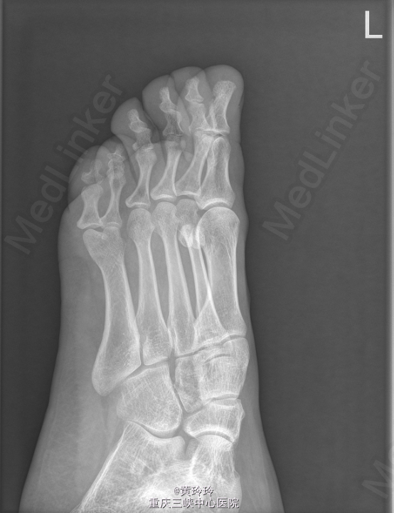
患者,女,32岁,因“ 发现左足多趾20年余 ”入院。
查体: 左足第四趾与第五趾之间长出一趾. X线提示左足第5多趾畸形。


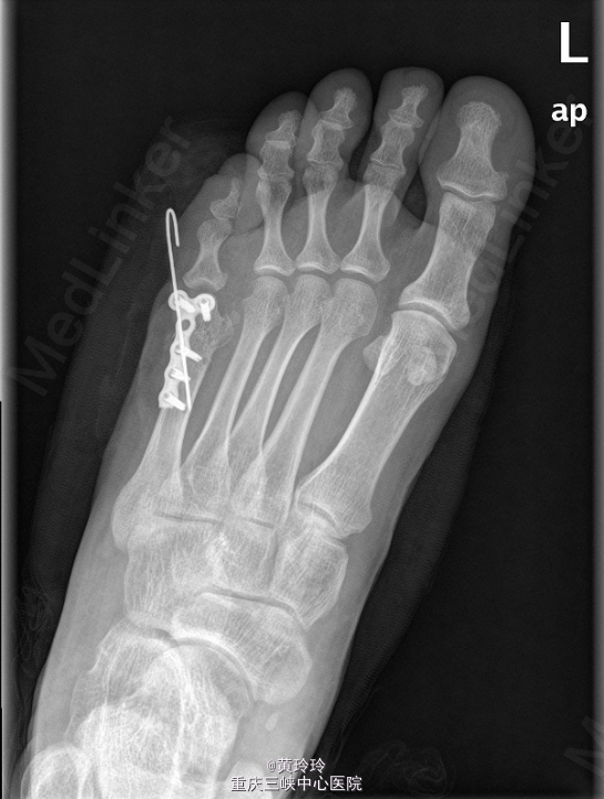
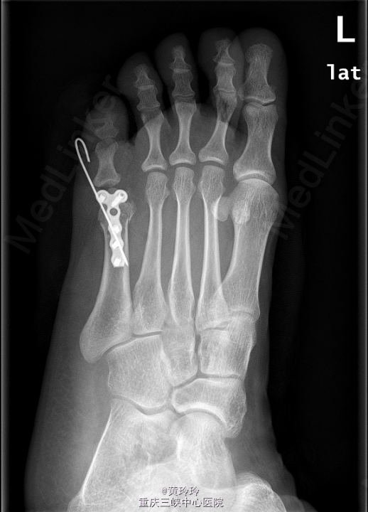
初步诊断:左足多趾畸形.在硬膜外麻醉下行左足多趾截趾加第五跖骨截骨矫形术. 取第5趾两侧切口,保留部分趾蹼皮肤,分离筋膜,去除第五趾。并予第五跖骨远端截骨,截去第五跖骨内侧部分跖骨头,将第六趾移向内侧,接近正常位置,克氏针斜行固定。C臂透视位置可,予T形锁定钢板及螺钉固定。


出院后下肢避免完全负重,避免剧烈活动。术后2周左右拆线。一月后拔除克氏针(具体待X拍片后决定).