下载或打开 医联APP 查看完整评论
立即下载
打开APP
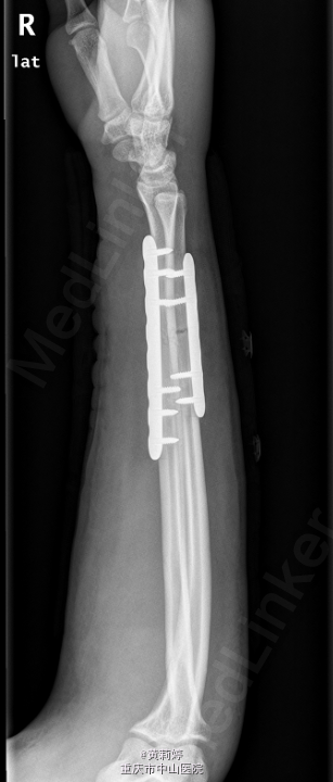
患者,男,17岁,因“摔伤致右侧前臂及腕部胀痛伴活动受限1天”入院。
右前臂石膏托固定,右前臂肿胀,畸形,压痛明显,右腕活动障碍,手指血运好,活动可,其余肢体无明显异常,神经系统检查无殊。我院右尺桡骨正侧位片示:右尺桡骨远段骨折、石膏外固定改变。我院右腕关节CT示:右尺桡骨远段骨折、石膏外固定术后。


初步诊断: 右尺桡骨远端骨折. 麻醉下行“右尺桡骨骨折切复内固定术”. 沿掌侧肱桡肌内侧切开皮肤,长约15cm,暴露肱桡骨以及桡侧腕屈肌间隙分离桡动脉和桡神经间隙分离,见右桡骨中下段骨折,复位骨折端,放置8孔锁定钢板,予以近远端各打入三枚锁钉螺钉,C臂机透视见骨折位置好,螺钉位置可. 再沿尺骨背侧做一约10cm手术切口,逐层切开皮肤皮下组织,暴露尺骨骨折端,见尺骨骨折错位,予复位钳复位,放置6孔锁定钢板,近端远端各予两枚锁钉固定,C臂机透视见骨折位置好,螺钉位置可.


术后予安可欣1.5g静滴bid预防感染,指导患者术后早期功能锻炼等对症支持处理。