下载或打开 医联APP 查看完整评论
立即下载
打开APP
患者女,21岁,左腰痛1年余,加重3天 患者1年余前左腰隐痛不适,无腹痛、恶心、呕吐,无发热,无尿频、尿急、尿痛,无肉眼血尿,无排尿困难,未予重视。3天前左腰痛突然加重,阵发性绞痛,伴下腹及腹股沟疼痛, 伴恶心、呕吐,无发热,无尿频、尿急、血尿、排尿困难,当地医院查B超发现左肾结石,现为进一步治疗入住我科。
查体:双肾区无红肿、隆起,左肾区压痛、叩痛,右肾区无压痛、叩痛,左肋脊点、肋腰点压痛,右肋脊点、肋腰点无压痛。左侧上中输尿管点压痛,右侧上中输尿管点无压痛,膀胱区无压痛。辅查暂无。
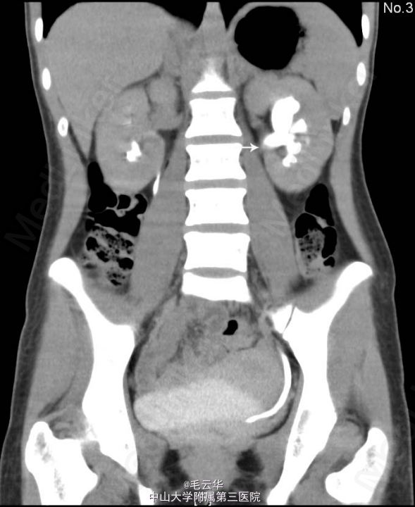
入院诊断:左肾结石 入院查尿常规RBC3003个/ul,KUB示左肾区平第2腰椎水平可见一结节状高密度影,大小为:17.8×9.9mm,考虑左肾结石。双肾CT平扫+增强+CTU示左肾下盏小结石;左侧盂管交界处结石(23×9mm),并左肾轻度积液。全麻下行左侧输尿管软镜碎石取石术,术程顺利,术后安返病房。



术后辅查KUB示未见结石残留。予办理出院,嘱1月后返院拔管。讨论:随着医疗科技的迅速发展,泌尿系结石的治疗设备和操作技术日益更新,输尿管软镜以其微创、安全、有效、并发症少、术后恢复快等优点在肾结石治疗发挥越来越重要的作用。输尿管软镜碎石特别适用于治疗直径<20 mm的肾结石患者、老年体弱者、极度肥胖者、出血性疾病者和不适合采取体外冲击波碎石术(ESWL)和经皮肾镜取石术(PCNL)治疗的患者;甚至对于>2cm铸型甚至鹿角型结石也具有良好的治疗效果。尽管目前输尿管软镜容易损坏且维修费用昂贵的问题制约了其大规模推广应用,但输尿管软镜正越来越受到广大泌尿外科医师的重视,仍将具有良好的发展前景。
