患者男,61岁,因“胸闷、气短5个月”于2012年8月1日以“多浆膜腔积液待查”人我院。患者入院前5个月受凉后出现发热,“抗感染治疗”后体温正常,但逐渐出现胸闷、气短,外院胸部CT检查见左肺舌叶片状影,前纵隔多发肿大淋巴结,心包少量积液;PET/CT示纵隔、胸骨旁及膈上前群多个淋巴结肿大(最高标准化摄取值为6.6,图1),双侧胸腔少量积液。多次检测胸腔积液中自细胞为(22~24.5)×106/L,单核细胞比例为0.84~0.96,胸腔积液与血清总蛋白比例为0.45~0.58,LDH比例为0.43~0.89,胸腔积液LDH为80~15l U/L,提示介于渗和漏出液之间。胸腔积液病原学检查及病理检查无阳性发现。在当地医院行内科胸腔镜及胸膜活检均未见异常。因不除外结核,加用四联抗结核治疗3个月,随后给予泼尼松60 mg/d,2周后逐渐减量,但症状仍无缓解,故来我院。患者既往体健,每天饮白酒3~4两,40年;吸烟22.5包年,已戒烟4个月。

体检:双下肺呼吸音降低,语颤减弱,余无异常。实验室检查:心脏彩超提示少量心包积液;肘静脉压为13 cm H2O。CT肺动脉显像及静脉显像提示心包积液,双侧胸腔积液,心膈角区多发肿大淋巴结,未见肺栓塞征象。腹部B超示肝稍大;门静脉彩超示门静脉(主于内径为1.3 CRi)流速偏低。多次复查胸腔积液仍介于渗出液和漏出液之间,胸腔积液中腺苷酸脱氢酶、乳酸脱氢酶及淀粉酶均在正常范围。
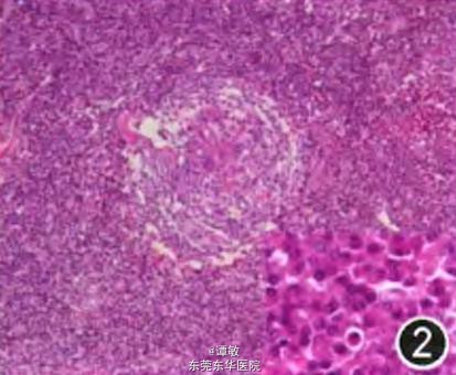
因诊断不明,在全身麻醉下行胸腔镜下心包前肿物切除术,术中发现肿物2块,1块位于右侧心膈脚附近与心包外脂肪融合生长,直径约为5 rm,触之质地较韧。另1块位于左侧心包外脂肪内,大小为4 cm x 6 cm,与左侧心包外脂肪融合。切除组织的病原学检查阴性,病理回报:巨淋巴结增生(Castleman,浆细胞型,图2)。免疫组织化学染色CD138、CD38、浆细胞、CD38及CD31阳性,CD21及CD23部分阳性。

由于患者肺功能较差,未能耐受上纵隔淋巴结清扫术,手术切除了大部分肿物,术后患者胸腔积液生成速度较前减慢,准备行局部放疗。 巨淋巴结增生又称血管滤泡性淋巴组织增生或巨大淋巴结增生,是一种少见的淋巴增殖性疾病道。本病主要表现为无痛性淋巴结肿大,可发生于身体的任何部位,大多数病例表现为局限性淋巴结病变,最常侵犯纵隔淋巴结,其次是腹部和颈部。目前尚无确切的治疗准则,化疗仍是多中心型的治疗首选。 doi:10.3760/cma.j.issn.1001-0939.2013.11.023