打开应用

上 牙合 氟斑牙—美塑树脂贴面修复病例

高医师   江西中医药大学附属医院
氟斑牙 氟斑牙

主诉 病史

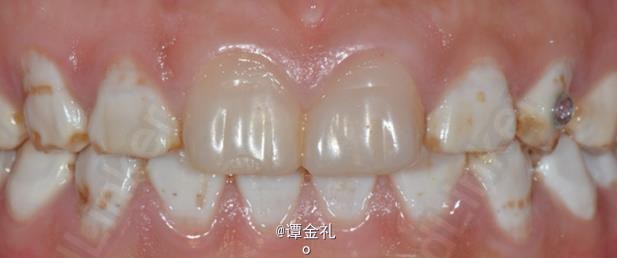
患者,30岁,氟斑牙,上颌合平面右上倾斜。在他处已做两中切牙树脂贴面。平素体质好,无结核病、高血压、心脏病等病史。无药物、食物过敏。

诊断 处理

计划:建议瓷贴面修复,由于种种原因未接受,要求树脂贴面修复

随访 讨论

随访良好,患者满意。

发布于 15-06-18 18:43

4 个评论

发送