患者,女,29岁,因“停经85天”入院。自停经以来无下腹部疼痛,无恶心、呕吐等不适,无腹胀、腹泻等不适,无阴道排液、出血等情况。患者平素月经规律,月经周期30天,经期7天,月经量中,无痛经。G2P1,于2008年6月阴道分娩一活女婴,有再生育要求。既往无手术史,无外伤史。
查体:意识清楚,心肺未闻及异常,腹软,无压痛及反跳痛,双下肢无水肿。盆腔双合诊检查提示:外阴、阴道未见异常,宫颈表面光滑,已产型;左侧附件区未扪及异常,右侧附件可触及一包块,边界尚可;有压痛,无反跳痛。 辅查:盆腔B超检查提示:子宫大小正常,右侧附件可见一大小为6.1 cm×5.2 cm×3.0 cm囊性包块。肿瘤标志物检查正常。尿HCG阴性。患者拒绝手术治疗,给予口服黄体酮后月经来潮。6个月后复查盆腔B超提示:右侧附件包块增大至9.1 cm×7.5 cm×5.0 cm。完善相关术前辅助检查,结果均正常。
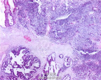
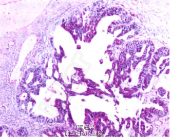
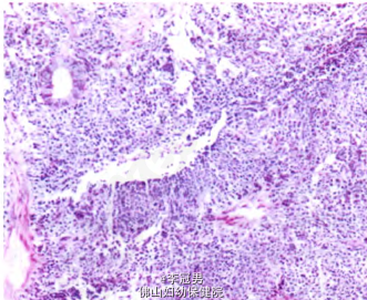
术前诊断:右侧卵巢肿瘤。 处理:在全身麻醉下行开腹探查手术。术中见盆腔无腹水,子宫、双侧卵巢及左侧输卵管均正常,右侧输卵管自壶腹部增粗形成一大小为9.0 cm×8.5 cm×5.0 cm囊肿,表面光滑,包膜完整。术中未行快速冰冻病理检查,行右侧输卵管囊肿剔除术。术后给予对症支持治疗。术后病理检查示:右侧输卵管交界性乳头状囊腺瘤,部分区域癌变,局灶呈肉瘤样分化。2日后,在全身麻醉下行腹腔镜下右侧附件切除术+盆腔淋巴结切除术+大网膜切除术+阑尾切除术+左侧卵巢活检术。术后病理检查示:输卵管交界性乳头状肿瘤(见图1),由浆液性及子宫内膜样上皮成分构成,局部癌变(直径0.2 cm)(见图2),部分分化较差,呈肉瘤样癌结构(见图3)。免疫组化:AEI/AE3(分化较好区+++,分化差区+),CK7(分化好区+,分化差区一),CK20(分化较好区+,分化较差区一),R(一),Vimentin(+),Ki-67指数15%一30%。卵巢、阑尾、大网膜及盆腔淋巴结均未见肿瘤(0/30)。术后诊断为:右侧输卵管恶性苗勒管混合瘤。术后给予卡铂+紫杉醇3疗程化疗。



患者术后6个月定期随访无特殊不适。 讨论:恶性苗勒管混合瘤(MMMT)是女性生殖道恶性肿瘤之一,是罕见的高度恶性肿瘤。该肿瘤最常见于子宫内膜,其次是阴道、官颈、卵巢,输卵管最少见,仅占所有MMMT的4%。多数患者为50—60岁的绝经后女性,平均年龄57.5岁。其典型组织学特点为癌和肉瘤样成分混合存在,癌样成分常为子宫内膜样、透明细胞样或乳头状浆液性,分化较差;肉瘤样成分似平滑肌肉瘤或纤维肉瘤,半数以上可出现骨骼肌、骨、软骨或脂肪等异源性成分输卵管癌变往往没有典型的临床症状,以往以盆腔包块、阵发性阴道排液和腹痛“三联征”作为输卵管癌的术前诊断依据。但近年来发现临床上同时出现“三联征”的病例并不多,而以盆腔包块伴阴道排液或阴道不规则流血的“二联征”多 见。本例患者术前也没有明确的“三联征”表现,而是以停经及盆腔包块为主要的临床表现,实属少见,最终患者因“附件肿瘤”进行手术,术中发现病变源于输卵管,术后病理检查提示输卵管交界性乳头状肿瘤,由浆液性及子宫内膜样上皮成分构成,局部癌变,部分分化较差,呈肉瘸样癌结构,符合MMMT的病理学诊断。