下载或打开 医联APP 查看完整评论
立即下载
打开APP
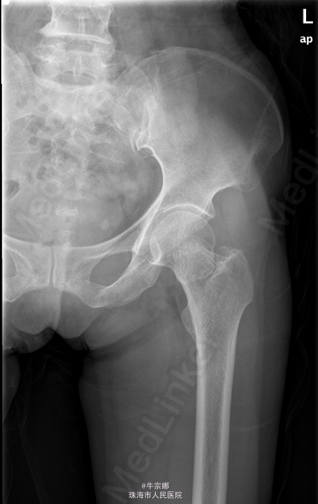
患者,女,65岁,因“外伤致左髋部疼痛伴活动受限10小时”入院。10小时前患者劳动时时不慎向后摔倒,左髋部、左肘部着地,当即感左髋部疼痛,活动受限.
左髋部皮肤完整无淤青,周围软组织无明显肿胀,局部压痛存在,左髋关节活动受限,腹股沟及鞍区感觉无明显减退,轴向叩击痛(+),左下肢无外旋畸形及短缩畸形. 2015-05-22本院CR :左股骨颈骨折. CT:左股骨颈骨折。


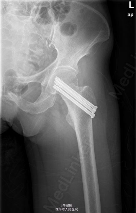
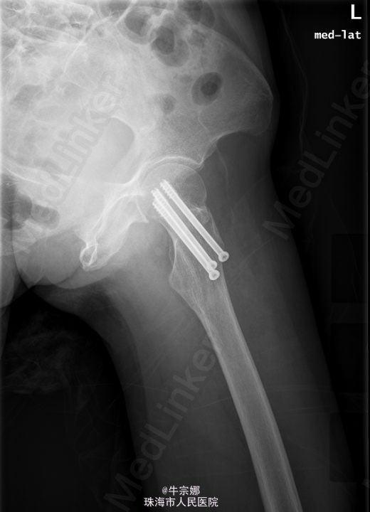
初步诊断:左股骨颈骨折.全麻下行左股骨颈骨折闭合复位内固定术. 取以左股骨粗隆下方约7cm的外侧经皮切口约3cm,C臂机引导下在左股骨粗隆下方约6cm、5cm、4cm处依次钻入3枚导针达股骨头部,见导针位置好,骨折对位对线良好,测深,分别旋入三枚空心拉力螺钉。再次透视位线良好。拔除导针,予以皮肤缝合。


术后予头孢替安2g静滴bid预防感染,补液,护胃,镇痛,保持水电解质酸碱平衡,指导患者术后早期功能锻炼等对症支持处理。