下载或打开 医联APP 查看完整评论
立即下载
打开APP
患者,男,46岁,因“外伤致右膝部肿痛伴活动受限3小时”入院。患者于3小时前不右左膝部撞击硬物后感剧烈疼痛,右膝部逐渐肿涨,活动受限,当即不能行走.
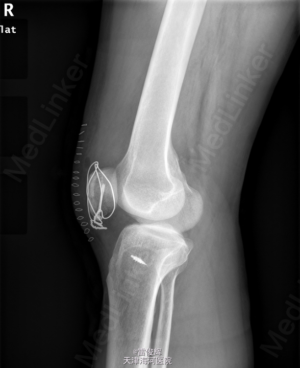
右膝关节肿胀明显,皮温不高,皮肤完整无破损,局部散在瘀斑,右膝关节活动受限,关节间隙及髌骨压痛(+),浮髌试验阴性. 本院X线片示:右髌骨骨折。


初步诊断: 右髌骨骨折 患者入院后完善检查,排除禁忌,全麻下行右髌骨骨折切开复位内固定+髌韧带修补术。


术后予抗炎止痛护胃补液等对症支持治疗.创口清洁,干燥,无感染征象,肢端活动感觉可,术后X片提示骨折复位固定满意.