打开应用

临床一例肾结核

李医师   河南誉美肾病医院
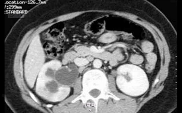
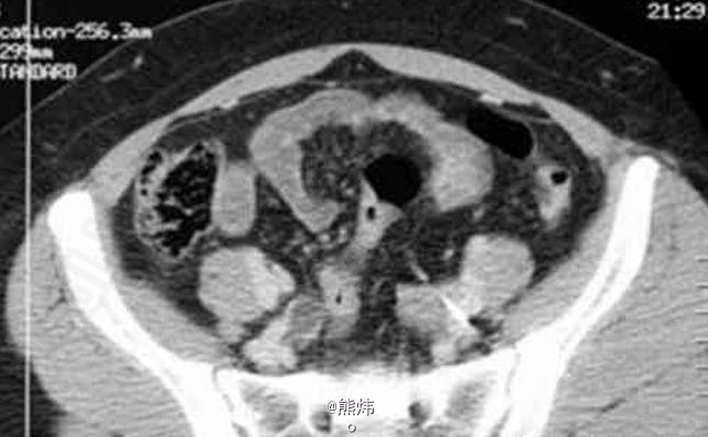
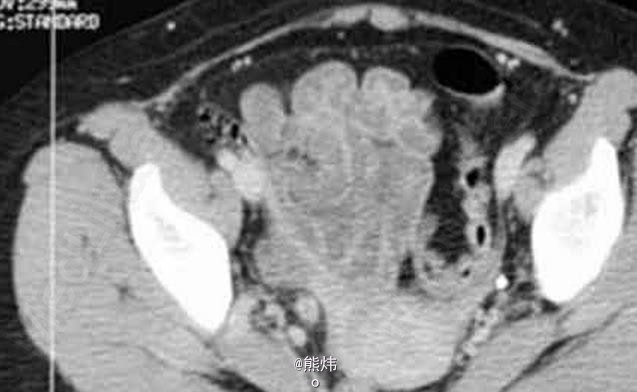
肾结核

主诉 病史

患者 女 30岁,因右腰疼痛1年前来就诊,既往无临床病史。

查体 辅查

查:镜下血尿,尿培养阴性。伴有腰痛和发热 辅查造影

诊断 处理

肾结核 处理:积极抗结核处理,采用链霉素

随访 讨论

大多数肾结核病例可以通过药物治疗得到痊愈

发布于 15-06-17 18:53

0 个评论

暂无评论
发送