打开应用

下颌多牙缺失种植修复

王医师   山东大学口腔医院
牙缺失

主诉 病史

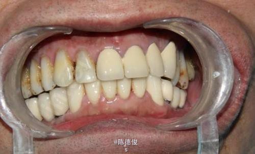
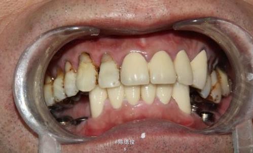
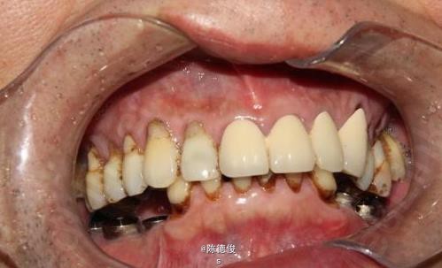
男,64岁,下颌多颗牙缺失数年,身体健康,无烟酒嗜好。

诊断 处理

诊断:肯氏1类缺失 诊疗方案:种植固定桥修复+咬合重建 种植系统:瑞士ITI-Straumann种植系统 治疗周期:3个月

随访 讨论

恢复良好。

发布于 15-06-17 17:49

0 个评论

暂无评论
发送