患者女,26岁。因“面部浮肿半年,双下肢浮肿1周”于2015年3月21日入院。既往病史无特殊。
查体:BMI 28.55kg/m2,腰围 103cm,臀围104cm,腰臀比 0.99。呈向心性肥胖,满月脸,水牛背。双侧甲状腺未见明显肿大,未触及结节,未闻及血管杂音。双肺呼吸音清,无干湿罗音。心律齐,各瓣膜听诊区未闻及杂音。腹部膨隆,腹部皮肤可见明显紫纹。双下肢皮肤可见明显紫纹,有明显凹陷性水肿,双足背动脉搏动可。 辅助检查:我院门诊尿常规(套)潜血++,蛋白质 +,白细胞 +,白细胞计数92.40个/ul,红细胞计数213.10个/ul。ENA谱、抗核抗体均为阴性,补体C3、C4正常。血浆皮质醇测定(化学发光法)(8AM)皮质醇815.670nmol/L。血浆皮质醇测定(化学发光法)(4PM)皮质醇718.010nmol/L。血浆皮质醇测定(化学发光法)(0AM)皮质醇633.480nmol/L。24小时尿游离皮质醇测定(化学发光法)24H尿皮质醇3899.000nmol/24h。大小地塞米松试验均未能被抑制,尿17-羟、尿17-酮未见明显异常。 双肾+肾上腺螺旋CT平扫(中腹)+四维检查所见:1.左侧肾上腺外侧支肿块,考虑良性病变,腺瘤可能大。2.弥漫性脂肪肝。 心脏彩超:左心增大(以左室为著),左室壁运动普遍性减弱,左心功能减低,请结合临床。三尖瓣反流(轻度)。主动脉瓣反流(轻度)。




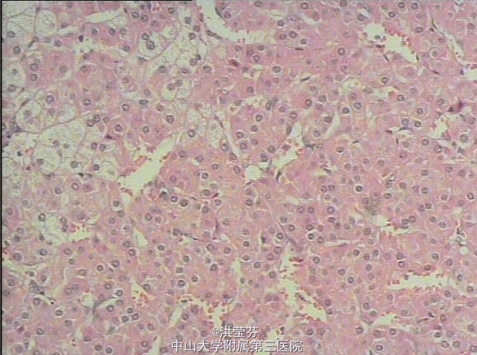
诊断:1、库欣综合征,肾上腺腺瘤(左侧)。2、左心室增大,左心功能不全 予转入泌尿外科行腹腔镜左侧肾上腺肿瘤切除术。术后病理是:(左侧肾上腺)形态结合免疫组化结果,符合(肾上腺)皮质腺瘤。免疫组化结果(③):Vim(+),Syn(+),CgA(-),Ki-67(<3%+),S100(-),CK(-)。





肾上腺皮质腺瘤分为有功能性有无功能性,有功能性皮质腺瘤常易引起皮质醇增多症及原发性醛固酮增多症。皮质醇增多症的临床表现:常女多于男,典型的表现是库欣综合征:满月脸、水牛背、向心性肥胖、紫纹、面部痤疮、雄激素增多。手术治疗是功能性皮质腺瘤最有效的治疗方法,术后患者症状可逐步改善。