下载或打开 医联APP 查看完整评论
立即下载
打开APP
患者,男,36岁,因“车祸致左小腿疼痛伴活动受限1天”入院。
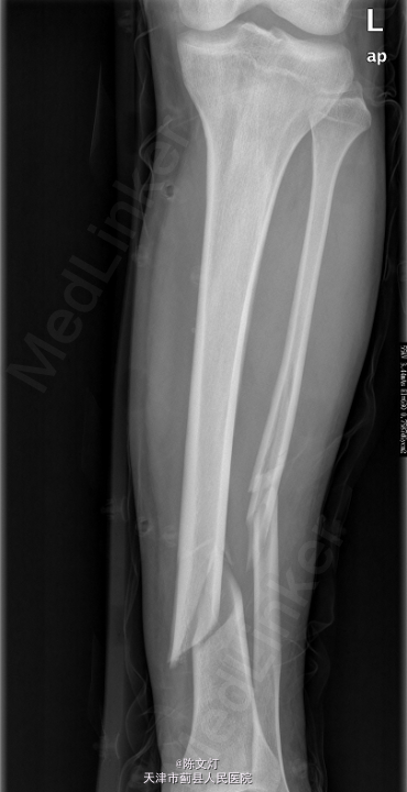
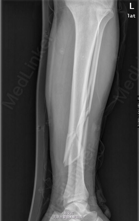
查体:左小腿活动受限,局部疼痛,皮肤感觉无殊,皮肤无破溃,趾端活动无殊,可及足背动脉搏动。其余肢体无殊,病理征未引出。辅助检查:2015-05-06 我院行CR检查提示:左胫腓骨骨折。


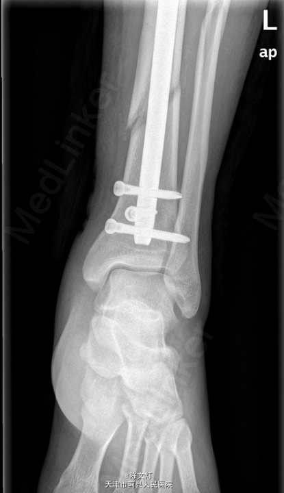
左胫腓骨骨折 全麻下行行左胫骨骨折闭合复位内固定术,术后予盐酸头孢替安2.0g 静滴bid预防感染。


左下肢切口处敷料包扎固定妥,切口对合良好。出院后注意休息,避免左腿负重,避免剧烈活动,防止二次损伤。