打开应用

刀刃状牙槽嵴种植+钛网应用

曹医师   沈阳医学院附属中心医院

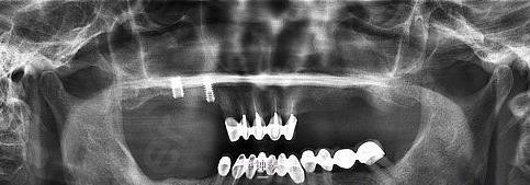
主诉 病史

患者,女,左上颌3、4、6要求种植。平素体质一般,否认高血压、糖尿病及心脏病史,否认肝炎、结核病史,无药物、食物过敏史,无外伤、手术及输血史。

诊断 处理

左上3、4、6种植

随访 讨论

种植体良好。

发布于 15-06-16 18:50

1 个评论

发送