下载或打开 医联APP 查看完整评论
立即下载
打开APP
男,32岁,主诉“反复尿频、尿急伴尿道溢血半年余”入院。患者半年余以来反复尿频、尿急,偶有尿道溢血,于当地私人诊所就诊,服药后症状无明显好转,现患者为进一步治疗来我院门诊就诊,门诊拟“附睾输精管结结核”收住院。既往有肺结核病史,经规范治疗后痊愈。
双肾区无压痛、叩痛,肋脊点、肋腰点无压痛,输尿管行程无压痛。尿道外口未见异常。阴囊无水肿、皮肤未见瘘管。双侧附睾结节,左侧3mm,右侧5mm,双侧输精管串珠状结节。辅助检查暂无。


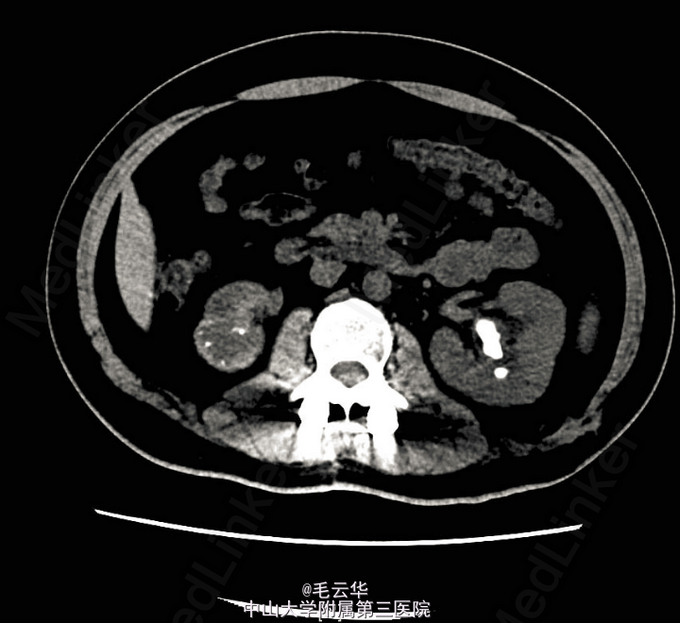
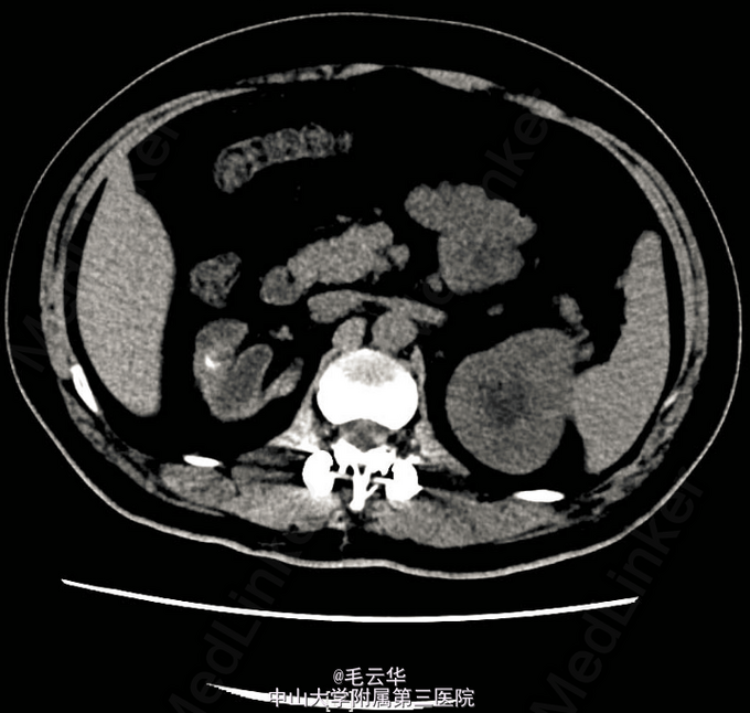
入院诊断:附睾输精管结核,肾结核,肺结核 入院后完善相关检查,尿常规:WBC 232个/ul,RBC 14个/ul。尿抗酸杆菌阴性。CRP阴性,PPD试验阴性。膀胱镜检精阜及后尿道充血明显,余未见异常。胸片未见异常。双肾CTU示右肾、右输尿管结石,右肾萎缩并功能功能重度减退减退,未除外肾结核。带抗结核药(异烟肼、利福平、吡嗪酰胺三联)出院。口服抗结核药治疗2周后返院行腹腔镜下右肾右输尿管切除术。术后继续抗结核治疗。
反复泌尿系感染,抗生素治疗无效应警惕泌尿系结核发生。此患者既往肺结核病史,反复泌尿道感染抗生素治疗无效,附睾输精管结节,这些都指示结核可能。早期附睾输精管尚未累及时,反复泌尿系感染就诊如果医师能够详细询问病史是否既往有肺结核病史或许可以早期发现、早期治疗,也许可以避免切肾。