下载或打开 医联APP 查看完整评论
立即下载
打开APP
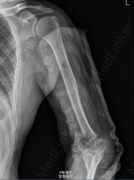
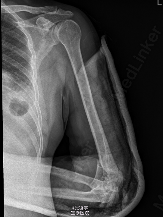
男,53岁,因“ 摔倒致双上肢疼痛5小时”于入院。 患者于5小时前从1米高处摔落,双上肢着地,伤后即感左右肘关节疼痛,伴左肘关节出血、鼻出血,至当地医院就诊。
右上肢伸直受限,感觉无异常,左上肢石膏敷料固定,未见明显渗血渗液,双下肢活动自如,肌力V级,病理征阴性。X线:左侧肱骨骨折。


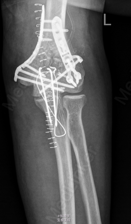
初步诊断: 1.左肱骨开放性骨折,右肘关节脱位? 行左肘关节韧带修补外固定架固定 。


术后注意功能锻炼防止粘连。