下载或打开 医联APP 查看完整评论
立即下载
打开APP
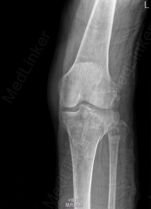
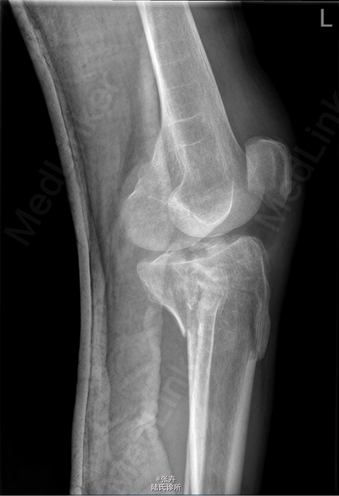
患者,男,50岁,因“外伤致左膝肿痛伴活动受限1天”入院。 患者1天前在工地干活时摔伤,左膝着地,当即感左膝疼痛,呈持续剧痛,左膝关节活动受限,左下肢不能站立及行走,无左下肢麻木。我院CT提示:左侧胫骨平台及左侧腓骨头粉碎性骨折,左膝关节积液、积脂血症。建议手术治疗,遂拟“左胫骨平台骨折”收住入院。
查体:左小腿上段肿胀明显,皮温不高,局部皮肤张力性水泡,无出血、渗出等,左膝关节活动受限,关节间隙,压痛明显。 我院CT提示:左侧胫骨平台及左侧腓骨头粉碎性骨折,左膝关节积液、积脂血症


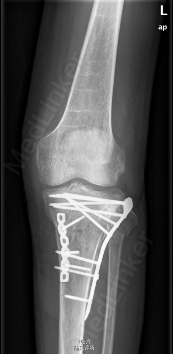
初步诊断:左胫骨平台骨折。行左胫骨平台骨折切复内固定+人工骨植骨术。


注意术后关节功能锻炼。