患者女性,62岁 主诉:“言语不清,右侧肢体乏力2+小时” 现病史:入院前2+小时起,患者劳累后出现言语不清、右侧肢体乏力、头昏、非喷射性呕吐,不伴头痛、视物旋转,否认意识丧失、肢体抽搐、二便失禁、复视,无心前区不适、黑朦等症状。 既往史:2+天前,患者旅游时受凉后出现体温升高,无明显咳嗽、咳痰等症状。
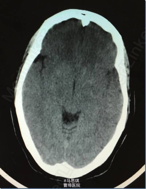
查体: PE:BP107/51 mmHg,双侧颈动脉未闻及杂音,双肺(—),心率80次/分,律齐,各瓣膜听诊区未闻及病理性杂音,腹(—),双下肢不肿。 NE:神清,部分性混合性失语,右侧轻度中枢性面舌瘫,右上下肢肌力Ⅴ-级,左上下肢肌力Ⅴ级,感觉对称、存在,腱反射++,病理征(—)。NIHSS评分:2分。 实验室检查:血常规示:WBC 14.3*10^9/L,中性粒细胞 80.8%,PCT 0.32 ng/ml。大小便常规、肝肾功能、电解质、血糖、风湿因子、ESR、血液流变学、HCY、血气分析、D-二聚体、心损、免疫全套、凝血、甲状腺功能、肿瘤标志物、腹部彩超、胸片正常,HIV(—),梅毒(—)。 TCho:4.45mmol/L ,HDL-C:1.31mmol/L ,LDL-C :2.41mmol/L ECG:窦性心律,ST改变。 UCG:左房稍增大,左室舒张功能稍减低。 TCD:椎-基底动脉血流速加快。 颈动脉彩超:双侧锁骨下动脉粥样斑块形成(软斑)。 入院头部CT:大脑镰旁多发钙化灶;脑实质未见明显异常改变。



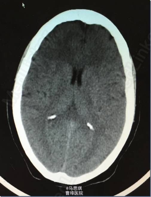
入院诊断为:“脑梗塞?” 患者有溶栓指征,但患者家属拒绝溶栓。 治疗: 氯吡格雷75mg Qd 拜阿司匹林0.1 Qd 立普妥 20mg qd 胞磷胆碱0.2tid 依达拉奉30mg ivgtt bid 康复治疗 入院第二天行MRI及MRA检查。 头部MRI:左侧额颞岛叶见片状稍长T2稍长T1信号灶,其内见较多增粗、增多血管影,原因?考虑:血管畸形所致左侧额颞岛叶缺血梗塞性改变?血管炎性病变或脑炎待排? 头颅MRA:左侧额颞岛叶见较多增粗、增多的血管影,右侧额颞顶交界区血管影稍增多。左侧胚胎型大脑后动脉。 入院第四天行头颅增强CT及CTA。 头颅增强CT:左侧颞叶见片状低密度影,其内见大小约0.7x1.6cm片状高密度影,与前片比较,见范围加大,考虑系梗塞后伴出血,血管畸形。增强扫描见左侧额颞叶较多迂曲扩张的血管影。 CTA:左侧额颞岛叶区域见大脑中动脉岛叶段,侧裂段及分叉段分支明显增多,部分迂曲、扩张,呈杂乱走行的血管团样改变,考虑血管畸形可能;右侧额顶交界区血管影稍增多。双侧颈内和基底动脉及大脑前中后动脉显示清晰,其大小、走行、信号未见确切异常,各血管壁光整,管腔未见确切狭窄,走行自然。 发现出血后,停用双联抗小板治疗,并加做DSA DSA示:左侧颈外动脉分支脑膜中动脉血管畸形,与颈内动脉,椎动脉无明显交通 修正诊断为: 左侧额颞岛叶脑梗塞并梗塞后出血; 左侧脑膜中动脉血管畸形 动脉粥样硬化症 上呼吸道感染







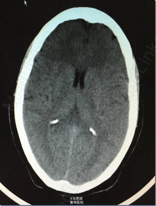
复查CT(3周后):左侧额颞顶叶片状脑梗塞密度较前片略降低。 3周后,患者行左侧脑膜中动脉血管畸形栓塞术,但因患者于部分供血血管造影时述左耳疼痛明显,放弃有明显临床症状供血血管栓塞术,随后出院。嘱氯吡格雷75mg Qd 立普妥 20mg qd 讨论:对于此类特殊病因的卒中患者如何评估溶栓风险?如何评估双抗风险?
