1、患者为青年男性,慢性起病。既往有肾结石手术病史。 2、患者于7年前因“右肾结石”于我院行“经皮肾镜碎石取石术”,术后好转出院。1年前因“左肾结石”于外院行“经皮肾镜碎石取石术”,术后好转出院。半年前无明显诱因出现血尿,偶有腰痛,无尿频、尿急、尿痛,无排尿困难,无脓尿。2015-4-24我院泌尿系B超:右输尿管上段结石,双肾多发结石。现为进一步诊治收入我科。既往有精神分裂症病史。
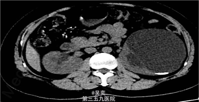
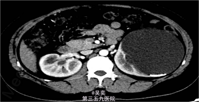
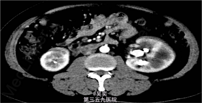
3、查体:无阳性体征 4、辅助检查:我院泌尿系B超:右输尿管上段结石并上段扩张,双肾多发结石。入院后白细胞总数10.550x10E9/L,中性粒细胞绝对值6.970x10E9/L。尿常规:白细胞计数50.30个/ul,红细胞计数145.70个/ul。生化全套:谷丙转氨酶75.000U/L,谷草转氨酶44.000U/L。双肾CTU:1、左肾盂和中下盏铸型结石较前稍增多,左肾中度积水。2、右肾多发结石,右肾中度积水,右侧输尿管上段炎症。3、左肾上极巨大囊性病变较前增大,考虑扩张的肾盏,内有结石。4、盆腔多发静脉石。5、前列腺小钙化灶。其余术前常规抽血结果无特殊。





5、诊断:肾积水伴输尿管结石,肾结石,精神分裂症 6、入院后完善相关检查,心电图、胸片未见异常,CT示:1、左肾盂和中下盏铸型结石较前稍增多,左肾中度积水。2、右肾多发结石,右肾中度积水,右侧输尿管上段炎症。3、左肾上极巨大囊性病变较前增大,考虑扩张的肾盏,内有结石,排除手术禁忌症,经术前准备,于左侧经皮肾镜碎石取石术,手术顺利,术后恢复较好。
7、出院后嘱患者避免劳累,规律饮食;1月后来拔除双J管;定期复查,注意有无结石的复发。 8、相对于传统开放手术,经皮肾镜手术时间较短,术中出血量较开放手术少;住院时间比开放手术短,术后恢复快; 而一期手术残石率较开放手术高,开放手术术后发生尿路感染的机会较PCNL高。 开放手术和PCN术后肾功能较术前好转,大部分病人术后肾功能保持稳定或改善,小部分恶化;PCN术后肾功能改善情况比开放手术好。