下载或打开 医联APP 查看完整评论
立即下载
打开APP
中年女性,主诉:发现乳腺肿物5天。 现病史:患者5天前无意中发现右乳肿物,为椭圆形,约2cm×3cm大小,质硬,无明显疼痛,无伴压痛,无伴乳头溢液、畏寒、发热,遂于龙岗中心医院进行肿物部分切除术,术中病理结果诊断为乳腺癌,未继续行根治手术,具体不详。现患者为求进一步治疗来我院。
查体:生命体征平稳。神清,双乳对称,双侧乳头无凹陷,局部皮肤无红肿,无溃疡,无皮疹,无酒窝征,无桔皮样改变。右侧乳腺外侧9点钟方向,可见一3cm手术疤痕, 距离乳头约3cm,挤压双侧乳头无液体流出。左侧乳腺未及明显肿物。双侧侧腋窝未扪及肿大淋巴结。
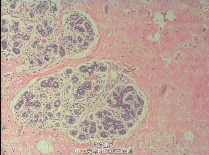
入院后查无手术禁忌,经我院病理科会诊外院手术玻片,结果提示:右乳浸润性导管癌。 于2015-04-08行“右乳癌改良根治术”,术程顺利。 术后病理提示:(右乳肿物)结合免疫组化,符合浸润性导管癌(Ⅲ级),部分为导管内原位癌(约30%)。(右腋窝淋巴结16枚)未见转移癌。(皮肤、基底部)未见癌。 术后于2015-04-15行术后第一次辅助化疗,方案为:THP 70mg+CTX 0.8g。过程顺利,患者无不适。 诊断:右乳浸润性导管癌


