下载或打开 医联APP 查看完整评论
立即下载
打开APP
1、因左腰痛1月入院。 2、患者1月前无明显诱因出现左腰持续性胀痛,无伴余不适,无腹胀、腹痛,无尿频、尿急、尿痛,无血尿、脓尿,于当地医院查示左肾上极囊肿,当地医院无能力处理,今日到我院门诊就诊,拟“左肾囊肿”收入我科。患者起步以来无畏寒、发热,无腹痛、腹胀,排气、排便正常,无尿频、尿急、尿痛,无血尿、脓尿,精神、胃纳、睡眠正常,大便正常,近期体重无明显变化。
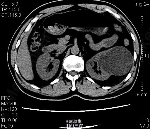
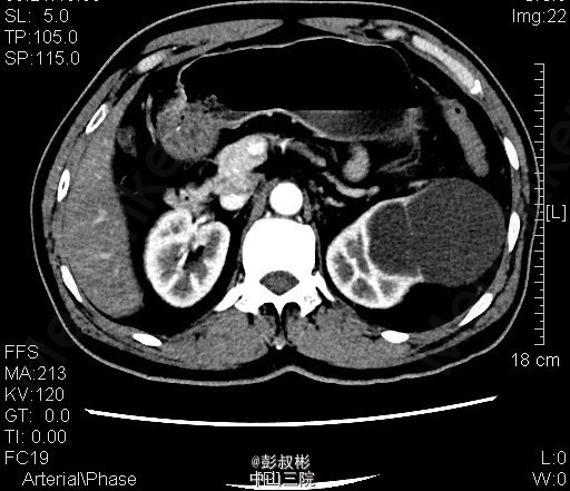
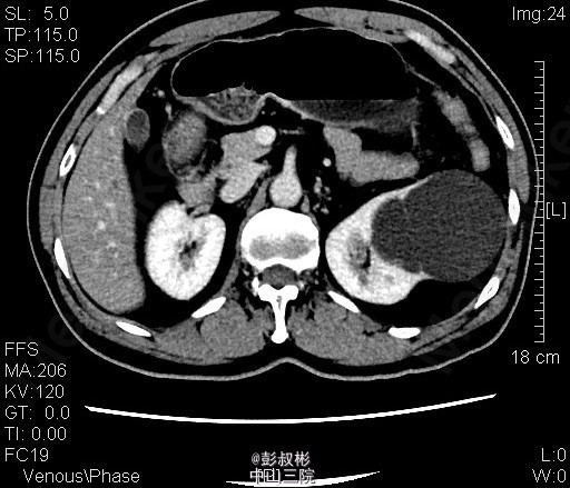
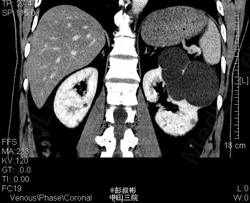
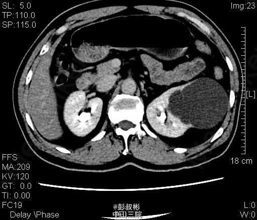
3、查体:腹稍膨隆,无压痛、反跳痛,未触及肿物,双肾区无红肿、隆起,无叩痛,双侧肋脊点、肋腰点无压痛。腹平软,双侧上中输尿管点无压痛,膀胱区无压痛。双侧腹股沟区未触及肿物。 4、CT:双肾多发囊肿,左肾囊肿较大,推压左侧肾盂肾盏。左肾小结石.轻度弥漫性脂肪肝





5、左肾囊肿 6、住院后完善相关检查,查血、尿常规,生化,凝血,心电图,胸片等未见明显异常。CT:双肾多发囊肿,左肾囊肿较大,推压左侧肾盂肾盏。左肾小结石.轻度弥漫性脂肪肝。经术前准备,行单孔腹腔镜下肾囊肿去顶术,手术顺利,术后予预防感染、营养支持等治疗,术后恢复较好,术后病理示:左肾囊肿。
7、 现患者术后恢复良好,无尿频、尿急、尿痛,无排尿困难与尿失禁,无血尿、脓尿,饮食、睡眠正常 8、肾囊肿是成年人肾脏最常见的一种结构异常,可以为单侧或双侧,一个或多个,直径一般2cm左右,也有直径达10cm的囊肿,多发于男性。随着年龄的增长,发生率越来越高,单纯肾囊肿一般没有症状,只有当囊肿压迫引起血管闭塞或尿路梗阻时可出现相应表现,有可能对肾功能产生影响。当囊肿超过5cm,应进行相应的治疗,包括囊液抽吸术并囊内注射硬化剂或行手术治疗。