下载或打开 医联APP 查看完整评论
立即下载
打开APP
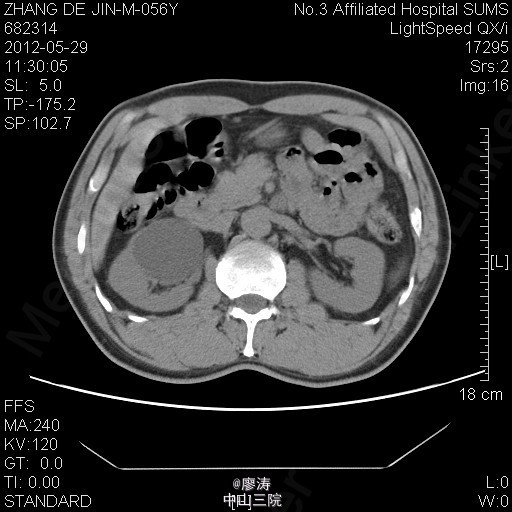
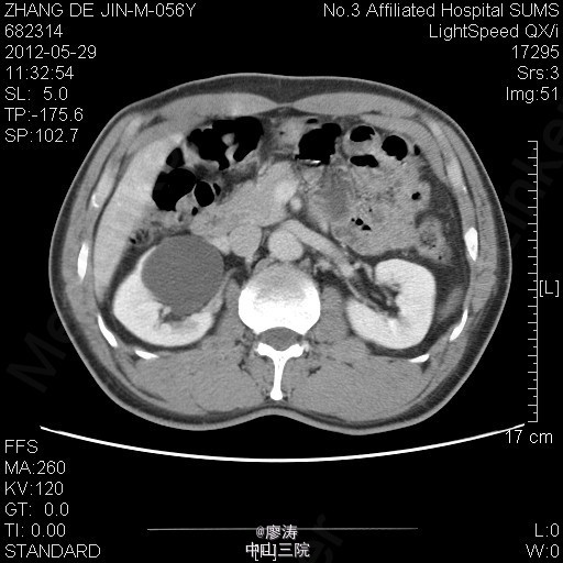
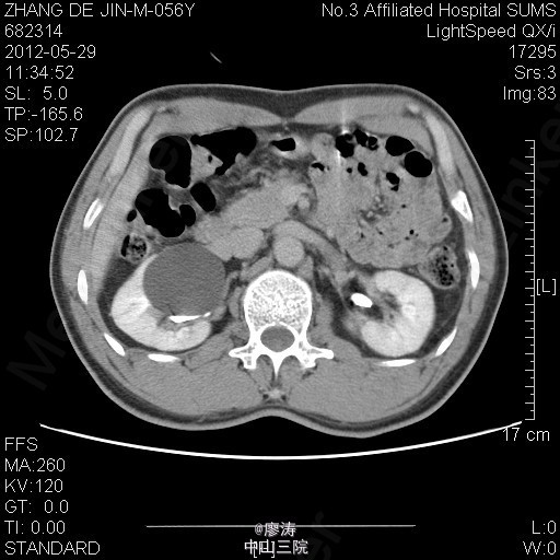
患者男,56岁,因腰痛2年到当地医院检查,当地医院彩超提示:右肾下部无回声区,考虑肾囊肿可能性大,右肾上盏局限性积液,余未见明显异常。为进一步治疗来我院就诊,行腹部CT检查提示右肾巨大囊肿,压迫右侧肾盂及中下盏。
腹部CT检查提示右肾巨大囊肿



诊断:右肾巨大囊肿 处理:行单孔腹腔镜下右肾囊肿去顶术 手术过程:麻醉成功后,取左侧卧位,常规消毒铺巾。在右侧髂脊上腋中线两横指作长约3.0cm横行切口,分离后建立单孔操作系统。分离腹膜外脂肪及肾旁脂肪,打开肾周筋膜,用超声刀仔细分离肾周脂肪,进入肾后间隙,于肾门附近、靠近肾盂内下方位置寻及肾盂旁囊肿,肾盂受压,PK刀分离囊肿周围脂肪,囊肿壁部分显露。PK刀打开囊肿,流出淡黄液体约40ml。吸尽囊液,在距离肾实质约6mm处剪除视野可见囊肿壁,范围约3cm,标本送病理检查。检查囊肿切缘无活动性出血后,拔出自制单孔设备,原切口放置橡胶引流管一条。逐层缝合切口。术毕,病人安返病房。术中出血约50ml。
随访:患者术后恢复良好,2周后出院,肾功能一直正常 讨论:肾囊肿是常见的疾病,但是这么大的还是不常见,囊肿的主要危害其实就是其形成的张力对肾脏压迫,慢慢影响深功能,本病例如果再不及时手术治疗的话必将影响到右肾功能,对肾囊肿的处理方法主要就是去顶,效果很好,本病例也主要分享了肾囊肿的腹腔镜手术处理方法,并详细分享了其步骤,希望大家多多指教。