下载或打开 医联APP 查看完整评论
立即下载
打开APP
老年女性 主诉:腰背痛半年余,大小便失禁1周。 病史:患者于半年前腰部扭伤后,出现腰痛、腰部无力,需借助外力站立和行走。自诉四肢肌肉力量间断出现减弱,容易出现肌肉僵直,并有肌肉颤动感。半年来,患者多卧床休息,未接受正规治疗。10余天前,出现胸部疼痛,并向背部放射,病人烦躁、易怒,难以入睡、胃纳差、大便次数少。1周前出现大小便失禁,体重近1月下降10余斤。
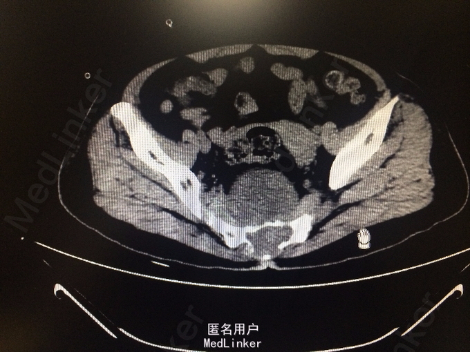
查体:脊柱生理弯曲存折,腰椎棘突间触痛(-),双侧腰椎旁叩痛(-),活动自如,关节无红肿,双侧下肢肌群肌力正常,双侧下肢外侧皮肤痛、温觉正常,未引出病理性反射,尾骨未触及。 辅查:外院X线:腰骶角增大,提示腰椎失稳可能;腰椎轻度退行变;S3以下骨质结构缺如。






诊断:骶尾部肿物:脊索瘤? 处理:完善各项检查后,为明确具体病理类型行骶尾部肿瘤穿刺活检术,病理明确后行腹腔镜辅助下骶尾部肿瘤切除术。



脊索瘤起源于胚胎残留的脊索组织。50 %的脊索瘤都发生在人体骶尾部。如果肿瘤侵犯脊柱,通常可出现脊髓压迫征,直接浸润,累及腹膜后组织,肿瘤足够大时,可以造成肠腔狭窄,或侵犯膀胱。就骶尾部脊索瘤的治疗方面而言,手术治疗解剖位置深在,手术暴露困难,加之起病隐匿,病程较长,患者来诊时肿瘤已经广泛侵犯周边组织,因此手术难度较大。该病人肿瘤尚完整,除骶骨骨质外未见侵犯其他组织,因此手术切除仍为较好的治疗方法。术后可加用辅助放疗可降低复发率。