下载或打开 医联APP 查看完整评论
立即下载
打开APP
患者男性,51岁,因活动中突发后背疼痛前来急诊科。
神志清楚,定向正常,痛苦面容,生命体征为:体温 35.7°C,心率 86 次 / 分,血压 127/77 mmHg,呼吸 18 次 / 分,血氧饱和度 98%(未吸氧)。体格检查示大汗,包括心脏与神经系统查体在内均未见异常。首次治疗予以患者大剂量静脉用麻醉药物及止吐药物,但疼痛未缓解。


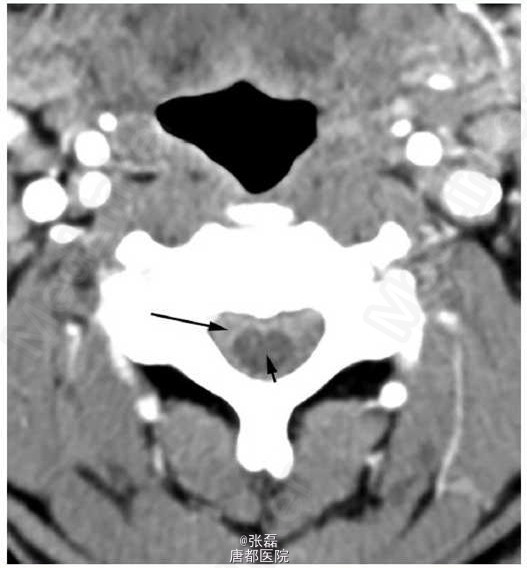
急诊行 T1-T5 椎板切除术与减压术。术后诊断为蛛网膜下腔出血肿块在髓内扩大,导致脊髓受压以及神经系统功能障碍。病理检查提示为血肿。随后,患者接受了脊髓血管造影进一步评估可能的出血源。血管造影未发现动静脉畸形或其他血管畸形。
患者出院继续进行康复训练。