下载或打开 医联APP 查看完整评论
立即下载
打开APP
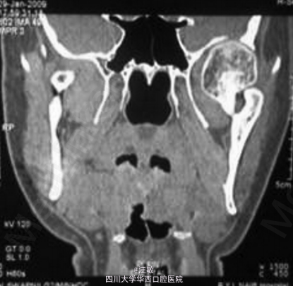
患者自诉过去一年右面部渐进性肿胀,咀嚼和说话困难
检查发现患者面部不对称,开口度为35mm,下颌中线右偏7mm,侧方运动受限。





综合临床和影像诊断为左侧髁突骨软骨瘤
病例中患者有明显的面部不对称,但是全景片并未发现有明显异常。此时计算机断层扫描可以帮助临床医生更加准确的确定病损区域。有趣的是病例中CT扫描可以明显发现左侧髁突增大,但是三维重建却发现左髁突外观正常。 doi:org/10.1016/j.jobcr.2014.12.001