打开应用

囊性纤维化

邱助教   四川大学华西医院

主诉 病史

患儿,女,8岁,剧烈咳嗽,咯痰数月。伴发热,乏力。余无特殊。

查体 辅查

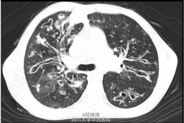
查体:呼吸急促,双肺呼吸音粗,可闻及干、湿啰音。胸部CT如图。

诊断 处理

诊断:囊性纤维化。痰培养:绿脓杆菌,是囊性纤维化感染并发症中最常见的致病菌。

随访 讨论

囊性纤维化(CF)是白人中最常见的致寿命缩短的遗传性疾病,主要影响胃肠道和呼吸系统,通常具有慢性梗阻性肺部病变,胰腺外分泌功能不足和汗液电解质异常升高的特征。

发布于 15-06-09 21:37

24 个评论

发送