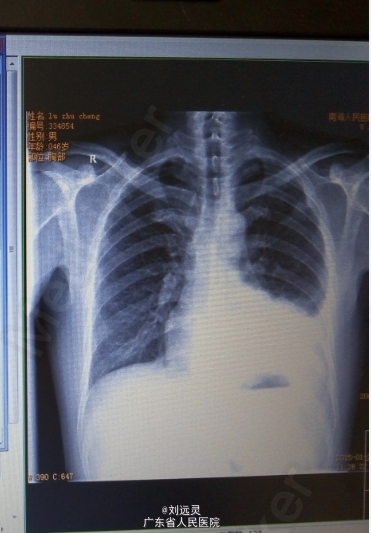
男,46岁。 因"低热、咳嗽10余天"入院。 患者于10余天前在无明显诱因下出现发热,最高体温37.5℃,无畏寒寒战,以夜间出现,伴咳嗽,程度轻,咳少许白色粘痰,痰中无带血丝,无铁锈色痰,无胸痛,曾在当地医院治疗,予抗病毒,抗感染等治疗,(具体不详),但症状缓解不明显,行胸片示:左肺炎并左侧胸腔积液。今为进一步治疗,拟"左下肺炎"收住本科。
体查:T:37℃ P:105次/分 R:20次/分 BP:107/73mmHg,神清,急性面容,全身皮肤、粘膜无出血点及瘀斑,无黄染,全身浅表淋巴结不大,结膜无充血水肿,唇无发绀,咽充血,双侧扁桃体不大,未见脓点,胸廓无畸形,未见明显三凹征,肋间隙增宽,触觉语颤对称,无胸膜摩擦感及皮下捻发感,右肺叩诊呈清音,左下肺叩诊呈浊音,右肺呼吸音粗,左肺呼吸音低,双肺未闻及干湿啰音,未闻及胸膜摩擦音。心、腹正常。辅助检查:外院胸片示:左肺炎并左侧胸腔积液。血常规、凝血功能阴性,HCV-Ab+HIV-Ab+TP-Ab+HBsAg 阴性,ESR 34 ↑ mm/h PCT 0.0900 ↑ ng/ml 大小二便常规、肝肾功能电解质血脂正常,超敏C反应蛋白 hCRP 44.65 ↑ mg/L 。胸水B超定位:左侧胸腔中量积液声像右侧胸腔未见明显液暗区。鳞状上皮细胞>25个/LP;白细胞<10个/LP(标本取材较差,主要来源于上呼吸道),上呼吸道正常菌群 痰涂片:未找到抗酸杆菌。 PPD(+)胸水找细菌:WBC++,未找到细菌及真菌,胸水常规、生化支持结核性胸腔积液。胸部CT平扫:1.左上肺多发片结状密影性质待定,占位病变与炎性病变相鉴别,建议增强扫描进一步检查;2、拟左下肺炎;3、左侧胸腔中等量积液,左下肺外压性肺不张;4、纵隔多发小淋巴结显示。甲功、肿瘤标志物阴性。纤维支气管镜检查:双侧支气管炎,刷检左上叶尖段支气管找肿瘤细胞及抗酸杆菌:未找到抗酸杆菌。液基薄层细胞制片术:(胸水)镜下:见间皮细胞及炎细胞,未查见明显恶性肿瘤细胞。复查肝肾功能电解质血脂:尿酸 UA 653 ↑ μmol/L 白蛋白 ALB 35.2 ↓ g/L 血常规正常。复查胸部CT平扫:1、左上肺多发片结状密影较前变化不大,性质待定,占位病变与炎性病变相鉴别,建议增强扫描进一步检查;2、拟左肺下叶、上叶下舌段肺炎;3、左侧液气胸,肺组织约受压5%,其中气胸为新发,胸腔积液量较前略有减少;4、纵隔多发小淋巴结显示。



诊断:1.结核性胸腔积液 2.左下肺炎 3.左侧气胸。处理:予左克抗感染,行三次胸水常规生化定性结核性后停用,用IRZE四联抗结核+口服激素治疗。
出院时病情无低热,间咳嗽无痰,无胸痛气促,复查肝肾功能电解质血常规正常,病情稳定,出院后继续抗结核治疗。