中年男性,主诉:发现乙型肝炎27年,呕血、黑便11天 现病史:患者27年前于体检时查HBsAg阳性,转氨酶升高(具体不详),予护肝等药物治疗后转氨酶可降至正常,未予重视。10年前再次于当地医院体检,查腹部彩超提示肝硬化,血常规提示三系减少,胃镜提示食管胃底静脉曲张(轻度),诊断为"乙型肝炎后肝硬化",予"拉米夫定"、"阿德福韦酯"抗病毒,规律复查,转氨酶仍有反复升高(具体不详),予护肝药治疗后可降至正常。1年前改为"恩替卡韦"抗病毒。11天前患者无明显诱因出现上腹部不适、恶心,并出现呕血3次,量约100mL,并排黑便,量约100mL,无头晕、大汗、心悸,遂就诊于当地医院,查胃镜示食管胃底静脉曲张(重度),现为求进一步诊治来我院。
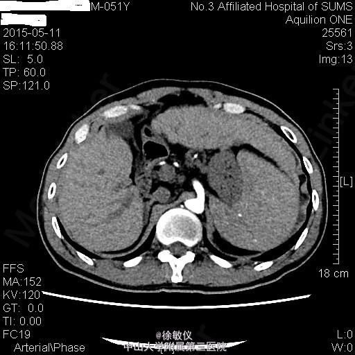
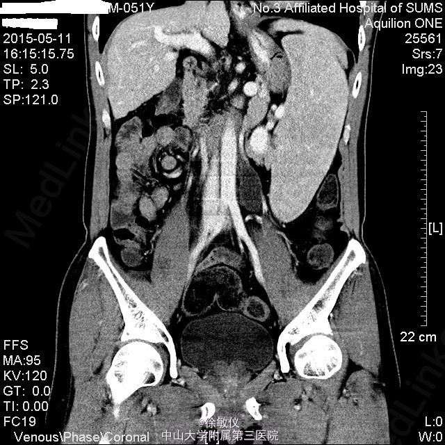
查体:生命体征平稳。皮肤无黄染,巩膜轻度黄染,未见肝掌、蜘蛛痣,未见瘀点或瘀斑。心肺查体无特殊。腹部外形平坦,未见腹壁静脉曲张,腹软,无压痛、反跳痛,肝肋下未触及,Murphy(-)。脾肋下6cm,质软,边界光滑,无压痛。 辅查:血常规:WBC 2.03x10E9/L,Hb 106g/L,PLT 51x10E9/L。 生化:白蛋白34.6g/L,转氨酶正常。 凝血:凝血酶原时间17.2sec,凝血酶原活动度61%。 全腹螺旋CT平扫+增强:1、肝硬化,门脉高压,脾大,食道下段胃底静脉曲张,附脐静脉开放,脾静脉增粗、迂曲。2、慢性胆囊炎。3、前列腺增生。4、全腹CTA:右侧副肾动脉形成。5、左肺下叶少许慢性炎症。


入院后予抗病毒、护肝、降门脉压、抑酸护胃、升白、营养支持等治疗。并于2015-5-13行胃镜检查,并行食管静脉曲张套扎术,结果回报:1.食管重度静脉曲张(Li+Lm,F3,CB,RC+)并套扎术;2.胃底重度静脉曲张(Lg-C,F3,CB,RC+);3.门脉高压性胃病。予请肝脏外科医师会诊,建议择期行脾切除手术。 诊断:乙型肝炎后肝硬化失代偿期 食管静脉曲张(重度,套扎术后) 重度胃底静脉曲张 门脉高压性胃肠病 脾功能亢进



