患儿男,出生2 h,因生后发现全身皮肤多发结节入院,系其母第1胎第1产。患儿生后即发现全身皮肤多发结节,呈棕褐色,无发热、发绀、抽搐,反应好。其母孕期无异常,无特殊用药史,否认家族遗传疾病史。
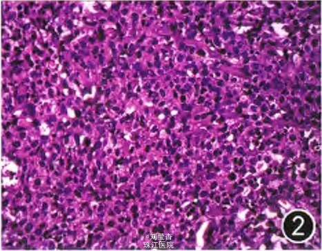
体格检查:皮肤科检查:全身皮肤可见多发形状不规则的结节,边界清楚,直径0.5—2.5 cm,质韧,活动度可,表面皮肤有棕褐色色素沉着,压之不褪色,Darier征阳性,尼氏征(一),全身皮肤未见水疱,无溃疡。 实验室检查:TORCH检查阴性,输血前检测甲肝、乙肝、丙肝、梅毒、艾滋病病毒抗体均阴性。体液免疫功能监测正常。血培养:无细菌生长。染色体报告:46XY。腹部彩色超声示:全身皮下多发低回声占位,肝、胆、脾、腹部未见异常。胸部x线片、颅脑磁共振成像(MRI)未见异常。早产儿视网膜病(ROP)检查:双眼视网膜血管发育近锯齿缘,周边较多出血灶。皮肤结节病理及免疫组织化 学检查:表皮未见明显异常,真皮浅中层中可见短梭形及卵圆形细胞浸润,吉姆萨染色:细胞质内可见紫蓝色异染颗粒;免疫组织化学:CIM3+++、LCA+++、lys+++、CD68(kpl)+++、CD4+、CDll7个别细胞+、髓过氧化物酶(MPO)+或一,CDla、S-100、CD56、TdT、CD20、pad-5、CD3、CD7均阴性、Ki67标记指数约80%。



诊断:新生儿皮肤肥大细胞增生症一结节型 给予赛庚啶片口服治疗。
随访:1个月未再有新结节出现,原有皮肤结节逐渐缩小、变少,于3个月左右完全消失,并留有棕褐色色素沉着。 讨论:大细胞增生症是一组局限性或系统性肥大细胞增生所引起的疾病,包括皮肤型肥大细胞增生症和系统性肥大细胞增生症两大类型。本病多为散发,一般无遗传史或家族史,其发病机制尚不明确。皮肤型肥大细胞增生症发病年龄差异较大,常见于儿童,多在1岁内起病,病变仅限于皮肤,有自发缓解趋势。该病诊断主要依靠典型皮损、Dafter征阳性、组织病理及特殊染色(吉姆萨或甲苯胺蓝染色)以明确诊断。吉姆萨和甲苯胺蓝染色可见肥大细胞胞质有异染颗粒,具有特异性。2002年世界卫生组织(WHO)制定了皮肤型肥大细胞增生症新的临床分类:(1)斑丘疹性皮肤型肥大细胞增生症,即色素性荨麻疹;(2)斑块性皮肤型肥大细胞增生症,即肥大细胞瘤;(3)结节性皮肤型肥大细胞增生症;(4)播散性皮肤型肥大细胞增生症;(5)毛细血管扩张性皮肤型肥大细胞增生症。结合本例患儿皮损特点,考虑本例为结节性皮肤型肥大细胞增生症,较罕见。 引自《中华儿科杂志》2015(4) DOI:10.3760/cma.j.issn.0578-1310.2015.04.017