下载或打开 医联APP 查看完整评论
立即下载
打开APP
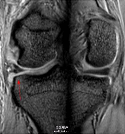
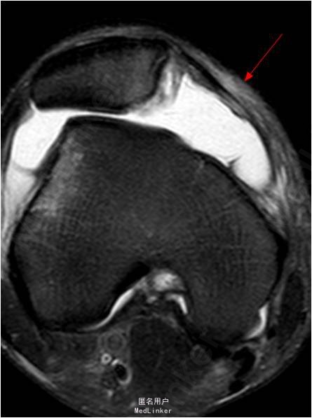
患者男,20岁,因”扭伤后右膝关节疼痛3周”入院。患者受伤时自觉右膝髌骨往外脱位,后自行复位。
查体:右膝关节无肿胀,浮髌征(-),髌骨恐惧试验(+),研磨试验(+),ADT(-),lachman征(-),麦氏征(+),PDT(-),侧方应力试验(-),关节活动度0-135度,股四头肌无明显萎缩,肌力正常;肢端血运、感觉、活动正常。MR提示:1.右膝髌骨脱位:MPFL损伤;2.右膝关节半月板损伤


诊断:1.右膝髌骨脱位:MPFL损伤 2.右膝关节半月板损伤 行右膝关节镜检,半月板修补,关节镜监视下MPFL探查+修补术
术后患者即开始直腿抬高,踝泵等康复训练,5天后开始主动训练,术后6个月已恢复正常的日常活动