下载或打开 医联APP 查看完整评论
立即下载
打开APP
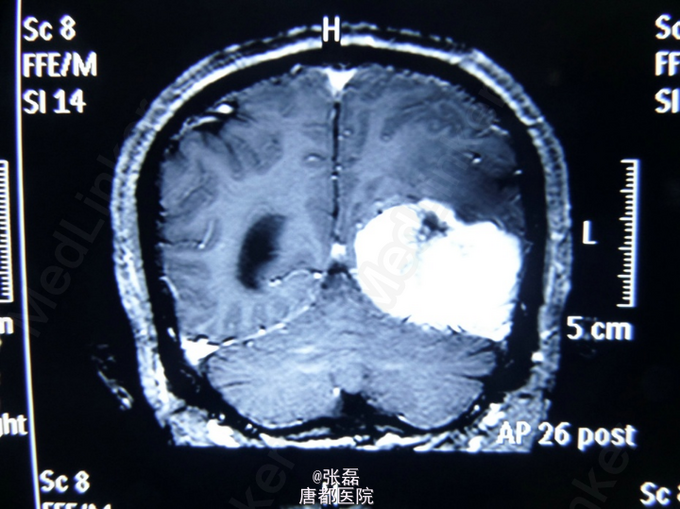
患者男,67岁,自诉头疼3月,伴有癫痫发作。
颅骨X线平片阳性所见:①肿瘤局部颅骨内板骨质增生,内外板均有增生时可有骨性突出,少数可有颅板破坏。②肿瘤血供丰富者可见增粗和迂曲的血管压迹引向骨质增生或破坏区。



采用颞下入路,作低位颞部骨瓣。术前作颈外动脉结扎。

除岩尖脑膜瘤外,位于中颅窝的脑膜瘤约占颅内脑膜瘤的6%,按肿瘤与脑膜的粘着部位分为三种:①鞍旁脑膜瘤位于中颅窝的内侧部,影响海绵窝内结构,与床突型蝶骨峭脑膜瘤的症状相似。②眶上裂脑膜瘤,在中颅窝前内侧,影响眶上裂结构,与小翼型蝶骨嵴脑膜瘤的症状相似。③中颅窝外侧脑膜瘤。前三种合称鞍旁脑膜瘤,第三种单独称为中颅窝脑膜瘤,这几种脑膜瘤多为球状,但与硬脑膜粘着的面积较大,且常与中颅窝内侧的结构粘着,手术切除常较困难。