下载或打开 医联APP 查看完整评论
立即下载
打开APP
患者女,48岁 左下后牙反复疼痛4个月,自发痛伴夜间加重2天。 “一疼起来攒得半边脸都疼”。 左下后牙4年前曾于外院充填治疗
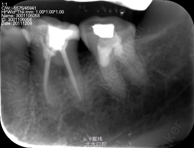
37O :银汞充填体,边缘良好,叩(±),不松,龈未见明显异常。冷测无反应。 36DO : 牙色充填体,边缘良好,叩(-),不松,龈未见明显异常。 X片示37: 充填体达根管口,未见根充影像根尖周未见明显异常 左上后牙固定修复体 27O 探及一深龋洞,色黑,质软,叩痛(+),不松,龈未见明显异常,冷测激发痛。修复科拆除26,27牙冠,拆除牙冠后见近中舌及远中颊合面深大龋洞,探敏感,质软




诊断:慢性牙髓炎急性发作
对于牙疼患者定位要准确,牙髓炎急性发作时常呈放散痛,所以检查时一定不能放过对合牙