小便浑浊39年、血尿及气泡1年; 患者39年前时因结肠梗阻行乙状结肠切除+横结肠造瘘术,术后患者出现尿液浑浊,当地医院考虑直肠膀胱瘘,患者37年前行横结肠造瘘还纳术,术后尿液浑浊持续存在。1年前无明显诱因出现血尿及气泡。行膀胱镜检查提示输尿管口腺癌(印戒细胞),遂来院就诊。
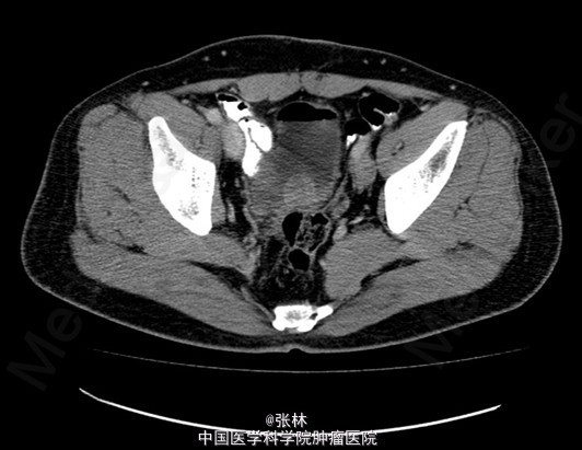
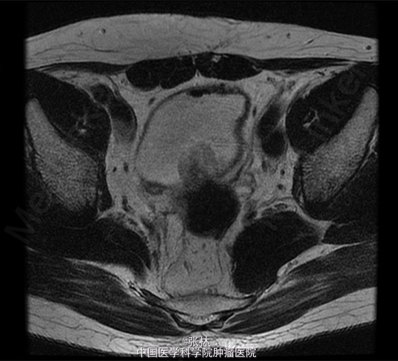
CT:膀胱充盈尚可,内见积气、气液平面;膀胱后壁明显不规则增厚,形成肿物,边界不清,范围约4.8×2.8cm,膀胱壁外缘毛糙,局部与直肠前壁分界不清。考虑:膀胱后壁肿物,与直肠关系密切,考虑为恶性。 MR:膀胱左后壁肿物,与精囊腺及后方直肠分界不清,膀胱充盈状态不同,形态较前改变,现范围约3.6×4.2cm,边界不清楚,T1WI呈低信号,T2/FS呈高信号,DWI扩散受限,增强扫描呈明显不均匀强化,考虑为恶性。
盆腔占位 直肠癌侵犯膀胱? 膀胱癌? 直肠膀胱瘘 乙状结肠切除术后 横结肠造口还纳术后
手术名称:腹腔镜直肠Harttmann术+膀胱部分切除+膀胱成形左侧输尿管膀胱吻合术 探查:无腹水,腹腔轻度粘连,肝胆脾胰腺等腹腔脏器未见转移,肿瘤位于直肠前壁及膀胱后壁,形成粘连。 以超声刀打开膀胱后壁,见肿瘤位于膀胱后壁3*4厘米,比邻左侧输尿管口处,基底与直肠前壁紧邻,不能确定肿瘤是来源于膀胱亦或是来源于直肠。 病理结果: 膀胱壁全层见低分化粘液腺癌浸润,主要为印戒细胞癌,可见脉管瘤栓。肿瘤主要位于膀胱腔内,浸润膀胱壁全层,肿瘤周围及肿瘤内粘膜腺体呈肠上皮形态。 (左侧输尿管断端)、(膀胱周围脂肪)均未见肿瘤。 膀胱肌壁间见窦道样穿行的肠上皮粘膜腺体,未见肿瘤累及。部分直肠肌层及粘膜层未见肿瘤累及。 免疫组化检测有肠上皮表达特征,不能除外膀胱来源。 淋巴结未见转移性癌(0/8) 肠周淋巴结 0/8 (1)(左盆淋巴结) 0,纤维脂肪组织。免疫组化结果显示:AE1/AE3(3+),CDX2(3+),CK18(3+),CK20(3+)。 大家讨论一下该患者TNM分期,以及肿瘤来源,下一步治疗。






