下载或打开 医联APP 查看完整评论
立即下载
打开APP
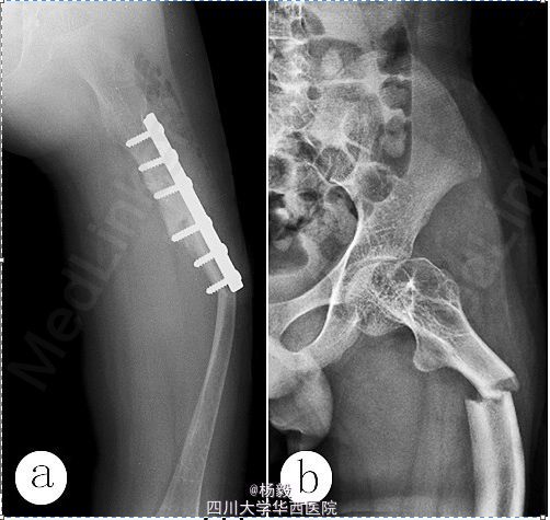
患者,男,7岁时因跌倒致左股骨中上段骨折于2004-06-26入院,行复位钢板内固定,4个月后骨折端愈合。13岁时因左大腿和右小腿逐渐出现弓形畸形、肢短、跛行3年于2011-09-07入院
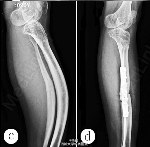
;查体:明显跛行步态,左大腿中上段和右小腿中段向前呈弓形畸形,左小腿中段轻度呈弓形畸形,左下肢较右下肢短6cm;X线片示左股骨中上段和右胫腓骨中段明显呈弓形,左胫腓骨中段呈轻度弓形(图1a、b、c),股骨和胫骨骨皮质菲薄;


行左股骨中上段和右胫骨中段截骨矫形钢板内固定术,因第一次股骨钢板固定后钢板远端出现股骨骨折,所以更换长钢板固定;因左胫腓骨中段骨质脆,骨皮质极薄,未行截骨矫形术
术后大、小腿切口愈合,左下肢给予石膏托外固定1个月,术后1周静脉滴注唑来膦酸5mg,4个月后股骨和胫骨截骨端愈合。2年后手术取出股骨和胫骨内固定物,术中见股骨较之前增粗,骨皮质较硬且牢固;X线片示左股骨中上段截骨和右胫骨截骨端愈合良好,骨皮质较之前增厚;再次静脉滴注唑来膦酸5mg。于2014-06-14行左胫、腓骨中段截骨矫形钢板内固定术,术中见骨质较牢固、骨皮质较厚;X线片示左股骨和胫骨骨质良好,骨皮质较之前增厚(图1d);第3次静脉滴注唑来膦酸5mg,患者双下肢基本等长。 参考文献:中国骨与关节损伤杂志2015 年4 月第30 卷第4 期Chin J Bone Joint Injury, Apr. 2015, Vol. 30, NO. 4