下载或打开 医联APP 查看完整评论
立即下载
打开APP
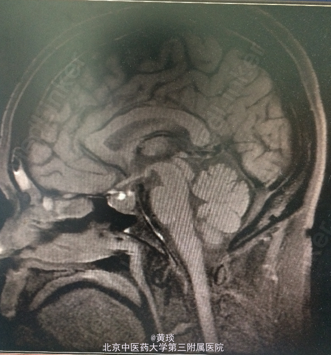
患者女,49岁,主诉:间断头痛2年,视物模糊1年。 现病史:患者2年前无明显诱因出现头痛,为前额钝痛,症状间断出现,发作时无恶心呕吐、无肢体抽搐、无肢体无力及大小便障碍、无意识障碍,未进行系统诊治。一年前起患者自觉视物模糊,偶伴有发热及烦躁不安,无面部感觉异常及眼球活动受限,无闭经泌乳、无多饮及多尿,右耳偶有耳鸣,无听力下降,无发作性头晕及走路不稳,无饮水呛咳及声音嘶哑,门诊行头部MRI检查,提示鞍上异常信号影。以“鞍区占位”收入院。
查体:双侧瞳孔等大等圆,直径约2mm,对光反射灵敏,左侧视力0.5,右侧视力0.6。其余无异常。 门诊头部MRI:提示鞍上异常信号影。


诊断:鞍区占位 处理:全麻下行经鼻蝶鞍区占位切除术
术前考虑的诊断:1.垂体瘤:为鞍区最常见肿瘤,患者可伴或不伴内分泌症状,临床可表现为视力视野受损或内分泌改变如多饮多尿等,影像学检查可见鞍区占位性病变,依据患者症状体征及辅助检查,诊断可能性大,具体待术后病理。 2.鞍区脑膜瘤:为鞍区常见肿瘤,多分布于蛛网膜颗粒聚集处,边界清楚,均匀强化,有时可见脑膜尾征,临床可表现为颅内占位效应,如视力下降等,依据患者症状体征及辅助检查,该诊断不能排除,具体待术后病理。 3.鞍区动脉瘤:较少见,但手术风险大,临床表现为视力改变,影像学见占位边界清楚,MRI见血管流空影,该诊断可能性小,但不能排除。 4.颅咽管瘤:多发于鞍区,儿童多见,临床可表现为视力下降或内分泌改变,影像学检查就CT可见蛋壳样钙化,该诊断基本可排除。 术后病理确诊为垂体瘤。