下载或打开 医联APP 查看完整评论
立即下载
打开APP
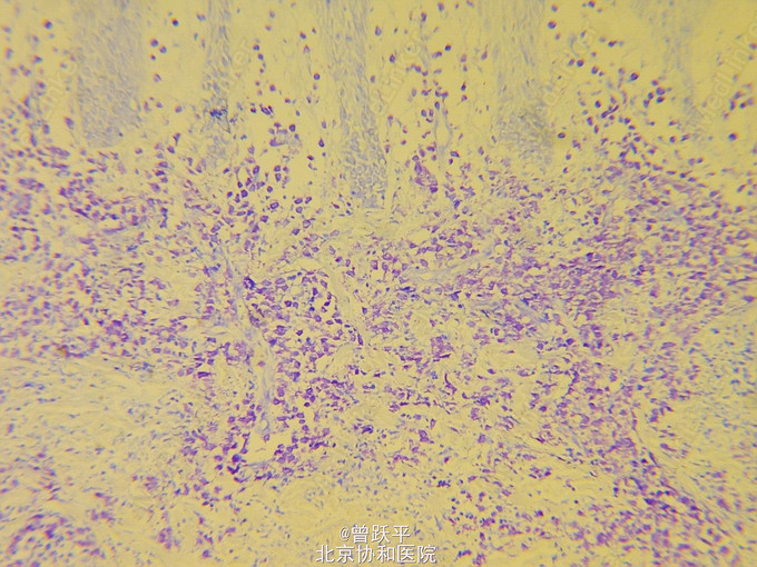
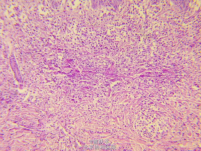
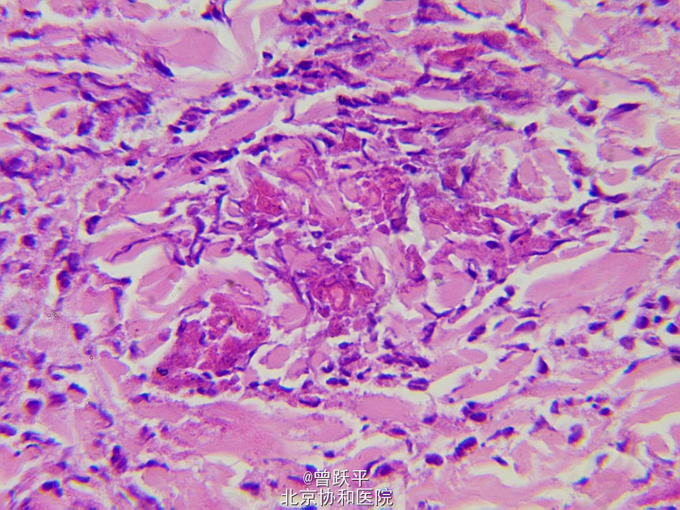
患儿女,5个半月。 因右手背皮肤结节、水疱、血疱,伴全身反复出现红斑、风团5个半月来我院就诊。 患儿出生时,右手小指掌指关节伸侧有一绿豆大丘疹,摩擦后肿大,表面起水疱、大疱或血疱,皮损渐增大。 患儿常出现全身阵发性红斑、风团和面色苍白,持续约数小时至数天后缓慢消退。 个人史:患儿系第一胎第一产,足月顺产。 家族中无类似患者。

查体:一般情况良好。系统检查无异常。全身浅表淋巴结未触及。 右手小指掌指关节伸侧可见一1.4cm×2.5cm棕红色结节,界清,橡皮样硬度。 躯干、四肢散在分布许多大小和形态不一的红斑和风团




单发性肥大细胞瘤 口服氯苯那敏2mg/d,红斑和风团明显减少,此后右手背皮损逐渐变小。
患儿6岁时随访,皮损已完全消退。