下载或打开 医联APP 查看完整评论
立即下载
打开APP
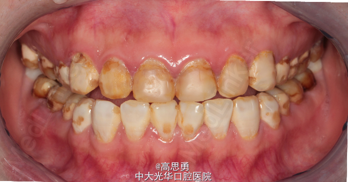
主诉:全口氟斑牙,要求美容修复。 现病史:患者出生并长期生活于广东省朝阳市,自恒牙萌出以来,全口牙表面上有白色、褐色斑块,未做特殊处理,现因自觉严重影响美观,遂到我院修复科要求治疗。 既往史:无心血管病、血液病、无传染病史、无药物过敏史。

检查(包括专科检查及辅助检查):详细记录口腔颌面部检查、牙体检查及牙周检查(附修复前照片,影像学检查图片) 1、全身状况良好,无全身系统性疾病,自主行动能力正常。精神心理状态无异常。 2、颌面部左右对称,面部比例协调,面部正面形态尖圆形。颞下颌关节运动无异常,开口型无异常,颞下颌关节无弹性,无压痛。 3、口内黏膜未见瘢痕,舌运动无异常。唇颊系带附着无异常,唾液分泌无异常。 全口牙表面广泛着色,可见白垩色到茶褐色的斑块,牙体完整,未见明显的实质缺损。牙龈正常,无肿胀无瘘管。
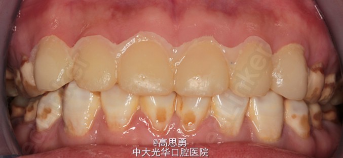
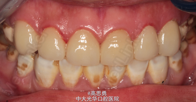
诊断:氟斑牙(着色型、中度) 患者意愿:患者希望尽快解决全口牙颜色改变的问题,不希望接受效果不明确、复诊次数多、维持时间短的治疗方案,可以接受费用较高的治疗方案,希望达到牙齿永久的形态、排列、颜色的尽可能完美的效果,但要求尽量少损伤牙体结构。下颌牙暂时不修复。 治疗方案:全瓷贴面修复,改善前牙美观。



个人觉得对于氟斑牙的颜色改变的治疗方法选择:1、贴面;2、beyond冷光美自;3、冠修复,其他通道还有什么建议吗?