打开应用

根管治疗一例——解剖根尖孔与生理根尖孔

高医师   中山医科大学口腔医疗中心

主诉 病史

左上后牙咬物不适2月要求治疗。

查体 辅查

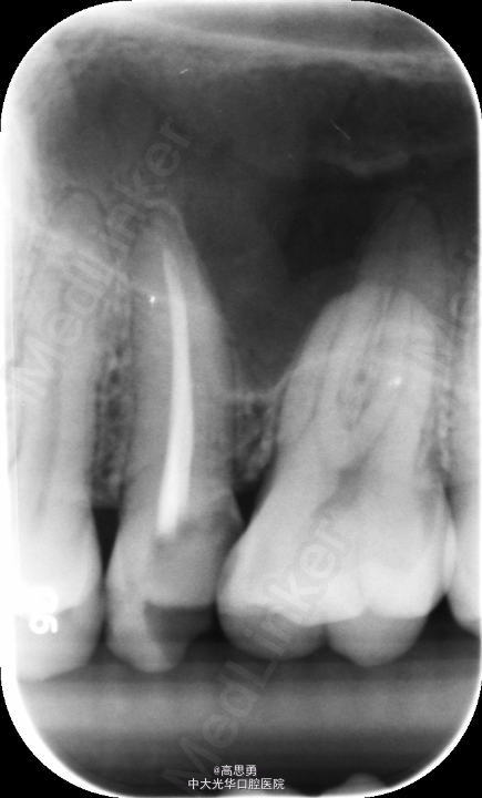
#25远合面龋坏,大量腐质,探(+),扣(-),松(-)。

诊断 处理

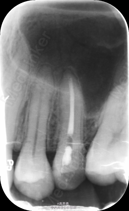
#25去腐未尽穿髓,行根管治疗。根充后X线片示:根充止点距解剖根尖孔约2mm。怀疑欠充,遂掏出牙胶后重新测量工作长度、重新根备后进行充填。第二次充填X线片与之前类似。认为可能是解剖根尖孔与生理根尖孔的差异所导致,玻璃离子暂封,观察。

随访 讨论

随访至3个月,患者无明显不适。

发布于 15-05-21 23:15

7 个评论

发送