下载或打开 医联APP 查看完整评论
立即下载
打开APP
56 岁男性,因大便潜血阳性而入住当地医院。
肠镜检查,横结肠见一小肿瘤而转诊至作者所在内镜中心。患者无便血、腹泻及腹痛,病史无显著异常,无大肠癌家族史。血液检查除转氨酶稍高外,其余均正常。血清 CEA、CK19 片段及 AFP 均处于正常范围。增强 CT 扫描未见淋巴结转移或远处转移。 肠镜检查,横结肠处见一略红的表浅隆起病灶(大小为 1cm)、中央略凹陷(图 1A)。窄带成像(NBI)放大,见杂乱的不规则微血管,凹陷区表面无此表现(图 1B)。色素内镜下用龙胆紫后放大观察,凹陷区可见一小灶不规则凹陷,其他区域由于存在大量粘液而未见这种凹陷。

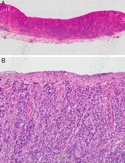
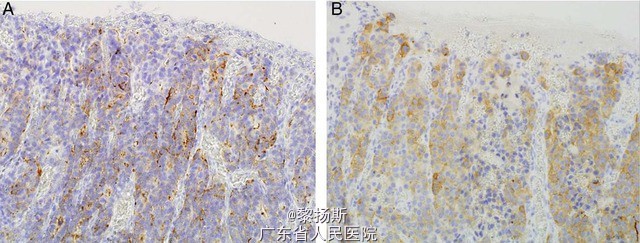
粘膜下注入生理盐水后,病灶隆起,然后行内镜下粘膜切除术。肿物完整切除、无不良情况。 大体检查,肿瘤为 11*5mm 表浅隆起型病变,伴表浅凹陷(图 2)。将标本以 2mm 间隔连续切开。镜下,肿瘤细胞排列成梁状及巢状(图 3A、B),周边可见少许腺癌成分(图 4A)。 免疫组化检查,肿瘤主体神经内分泌标记阳性,如 CgA(图 5A)、Syn(图 5B)、CD56。两种肿瘤成分免疫组化表现类似,二者均为角蛋白 AE1/AE3(图 4B)及 CD10(图 4C)阳性,MUC2(图 4D)、MUC5AC、MUC6 及阿辛蓝阴性。非肿瘤区的粘膜内未见 CgA 阳性细胞巢。肿瘤区核分裂 >20/10HPF,Ki-67 指数 >50%。 术后诊断为神经内分泌癌,粘膜下层微浸润(300μm)、无淋巴结转移。




粘膜下切除术一年后,肠镜及 CT 检查未见复发。现每年两次 CT、每年一次肠镜随访中。doi: 10.1136/bcr-2014-208148.PMID: 25737221