下载或打开 医联APP 查看完整评论
立即下载
打开APP
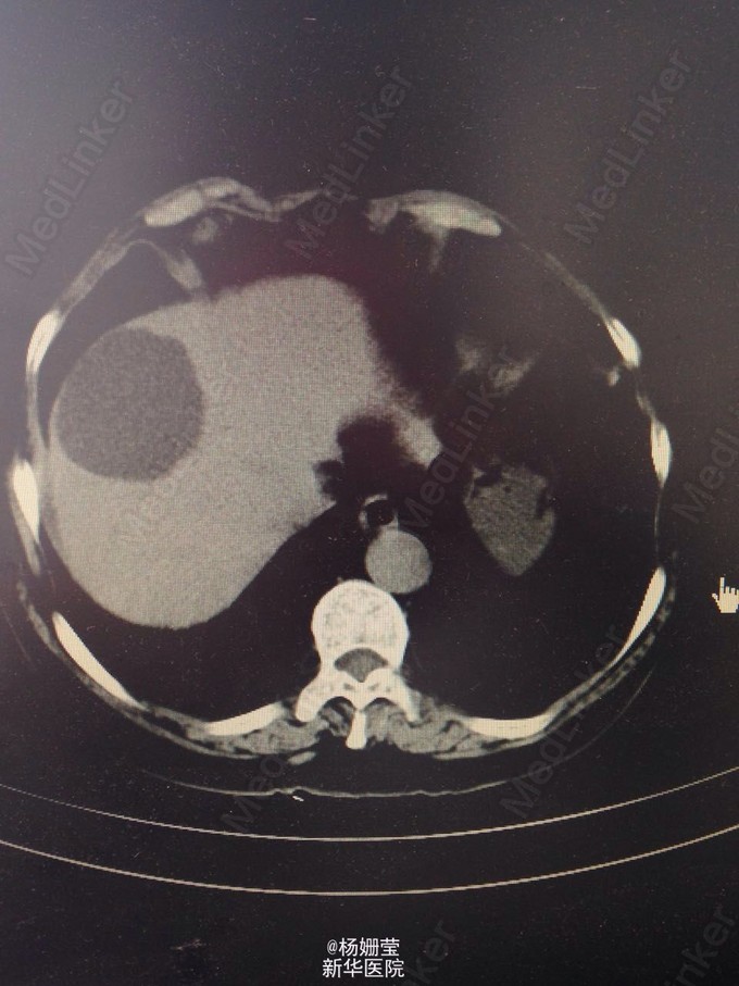
女,46岁。 主诉:两天内黑便五次,伴晕厥一次。 两天日间开始出现解黑便,伴有里急后重感,共解黑便四次,,柏油样尚成形,解便前无腹痛,无恶习呕吐不适,便后无黑朦,胸闷,冷汗等不适,至下午患者休息时突发黑朦,随即晕厥摔倒在地,无外伤。追问病史,患者近两月来时有头晕不适,自觉体力较前明显下降,双下肢乏力,未留意排便颜色便后。 查体神清,气平,双瞳孔等大等圆,对光(+),HR 76次/分,律齐,未及杂音。两肺呼吸音粗,未及明显干湿罗音。腹软伴上腹部压痛,无反跳痛,无肌卫,肝脾肋下未及,肠鸣音减弱。双下肢无浮肿。四肢肌力、肌张力正常,病理征(-)。 辅检:血常规示:血红蛋白 84 g/L|血小板计数 209 10^9/L 头颅CT:右侧侧脑室前角外侧脑梗塞,隐血试验 阳性+++ 诊断:消化道出血;中度贫血 反流性食管炎(LA-B) 肝囊肿 肾囊肿 发热(疟疾待排) 予以抗感染,止血,制酸,流质饮食、维持水电解质酸碱平衡。患者入院后出现发热,咳嗽,给抗感染,发热仍有反复,呈弛张热,予PET检查,高热血找疟原虫,近三日来患者热退,症状好转,要求出院。 随访:出院后患者未行进一步检查。 总结:黑便伴晕厥患者诊断原发病需进行多方面排查。
