下载或打开 医联APP 查看完整评论
立即下载
打开APP
患者男性,55岁,因大笑后晕厥急诊入院。 既往否认吸烟史、烟尘暴露史,否认饲养宠物。他在近几个月出现劳累性呼吸困难伴轻微咳嗽,无咯血,无体重下降或盗汗。
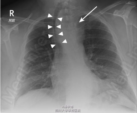
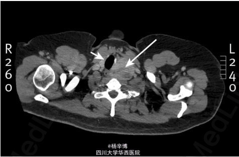
患者体格检查未见异常,常规血液检查、心电图未见异常。 胸片、胸部CT异常 器官明显右偏,上纵隔见均质密度影(箭头) 前纵隔巨大包块,甲状腺来源可能


考虑诊断:甲状腺占位 拟完善甲状腺功能,行包块切除术
分析:患者年龄不考虑畸胎瘤,无腺病及B类症状暂不考虑淋巴瘤。CT证实甲状腺包块,血清甲状腺激素未见异常。90%胸骨下甲状腺可位于前纵隔。劳累性呼吸困难在器官狭窄低于8mm可出现。该患者接受了颈入路偏侧甲状腺切除术,术后病理提示多发结节状甲状腺组织,未见恶性细胞。