下载或打开 医联APP 查看完整评论
立即下载
打开APP
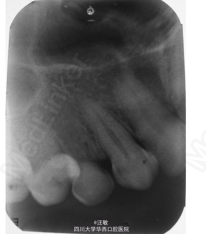
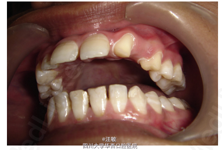
患者因上前牙美观问题就诊。
检查发现22牙缺失,23牙处于22牙位置,左上乳尖牙滞留。所有的咬合关系都正常。


计划拔除左上滞留乳尖牙,拔除后可考虑活动或固定修复。由于经济等问题患者选择固定桥修复,以23、24为基牙修复缺牙间隙。


牙异位在临床中比较常见。病例中的滞留乳牙拔除后,如果经济、牙槽骨等条件许可,最佳选择为种植修复。如果患者认为种植修复期间缺牙影像美观,可以制作活动义齿解决缺牙美观问题。 do:org/10.1016/j.jobcr.2014.07.001