打开应用

蝶骨嵴 or 大脑凸面脑膜瘤?

曾医师   华中科技大学同济医学院附属协和医院
脑膜瘤

主诉 病史

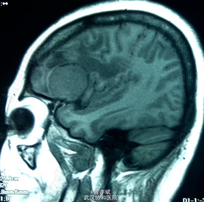
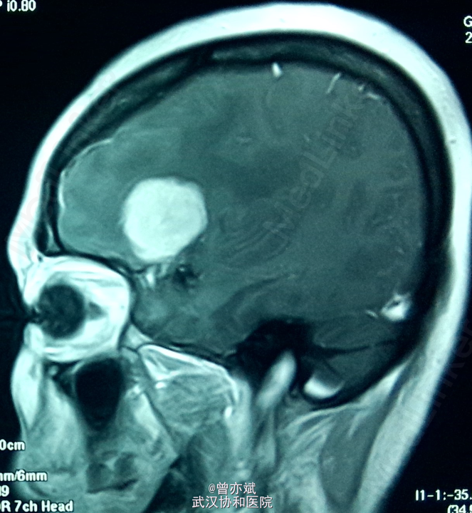
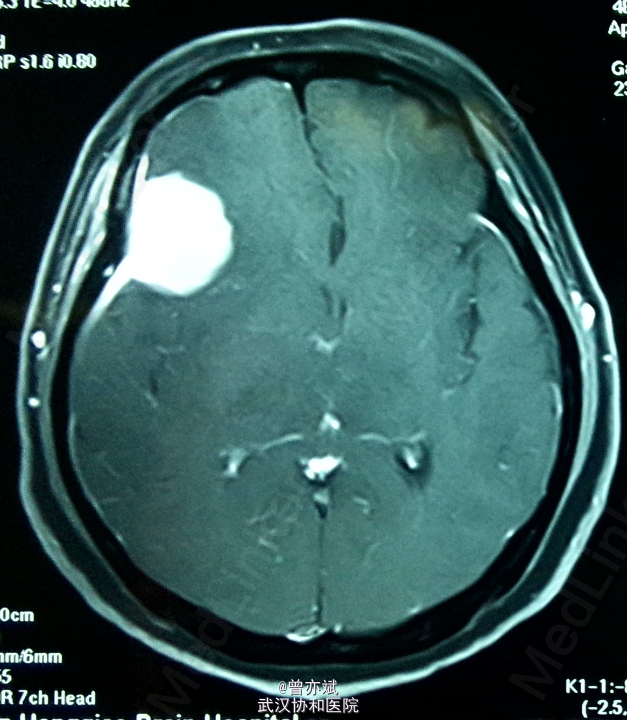
患者女,48岁,因“头晕1年”入院。近来出现左侧肢体肌力下降。

查体 辅查

查体除左侧肢体肌力稍差4+,余无阳性体征。MRI如下

诊断 处理

诊断:脑膜瘤 处理:手术切除。 病理报告为脑膜瘤。

随访 讨论

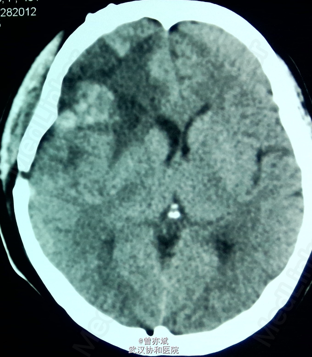
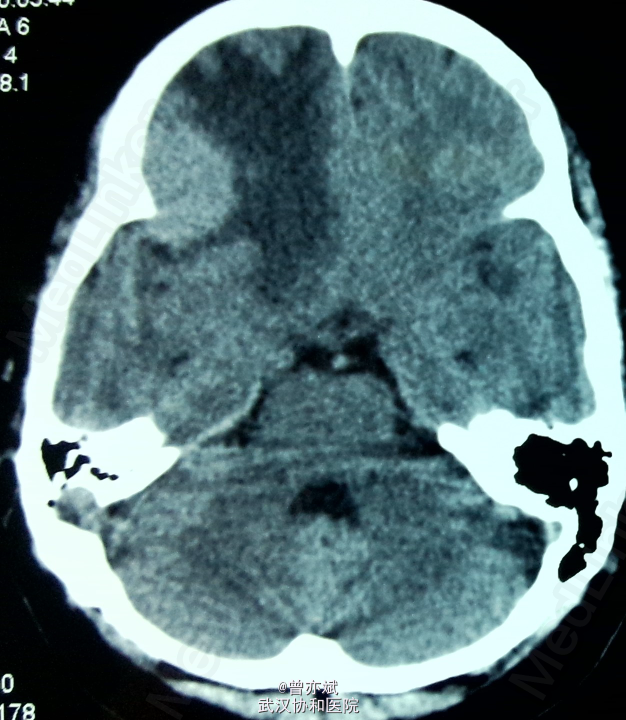
术后CT如下

发布于 15-05-11 21:55

1 个评论

发送