下载或打开 医联APP 查看完整评论
立即下载
打开APP
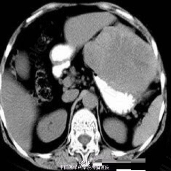
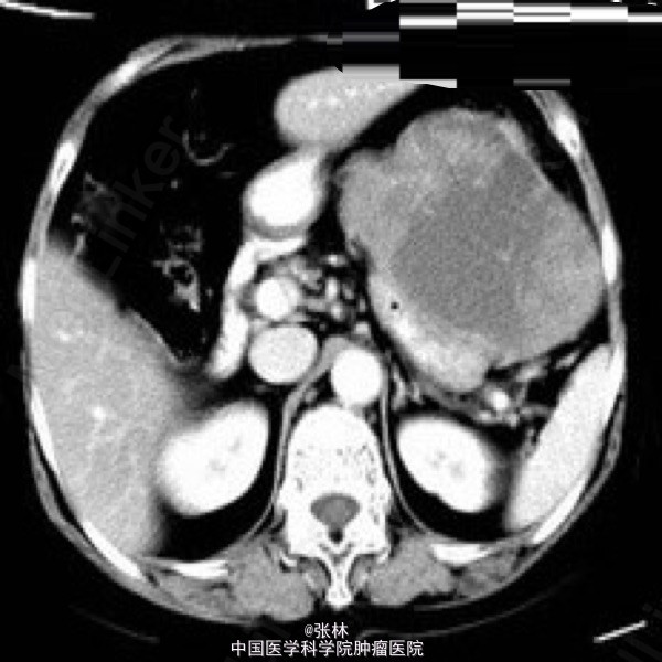
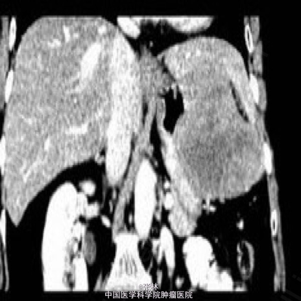
病史:女,65岁,上腹不适3年。
CT表现:胃体部前外侧壁可见一外生性肿物,体积大,形态较规则,边界清楚,肿物与邻近胃壁不可分,胃腔受压变扁;平扫呈较均匀等或略低密度,增强扫描明显不均匀强化,周边实性部分呈渐进性强化,中心可见片状无明显强化的更低密度区域。
术中:肿物位于胃前壁体底交界处,约12X10X10cm,占据上腹大部分,于肝左外侧叶稍粘连,肿物呈暗红色,质硬,肿物附近胃壁颜色、质地正常。 病理诊断:胃高度恶性间质瘤。
胃肠道间质瘤(gastrointestinal stromal tumors, GISTs) 是一类独立的来源于胃肠道原始间叶组织的非定向分化的肿瘤,由不同数量的梭形细胞和上皮细胞组成,占胃肠道间叶来源肿瘤的大部分。以往大多被诊断为平滑肌源性或神经源性肿瘤,免疫组化表达中CD34和CD117在GISTs的阳性率分别为70%和85%。在病理学基础上,胃肠道间质瘤有良性、境界性和恶性之分。以核分裂数(MF)多少和肿瘤大小为分类的依据。良性瘤MF<2个10HPF;境界性2~5个10HPF;恶性>5个10HPF或肿瘤体积>6cm。在临床上,患者多因黑便、腹部不适或腹部肿块就诊,也有部分患者无症状,而于体检时偶然发现。确诊主要依靠术后病理诊断。多发于中老年人,以胃与小肠常见。


