下载或打开 医联APP 查看完整评论
立即下载
打开APP
主诉:体检发现胰腺肿物18月 现病史:患者18月前因心慌不适就诊于当地医院,行腹部超声提示胰尾部囊性占位,大小约1.7×2.7cm,无腹痛、腹胀,无皮肤粘膜黄染等不适。4月前,在外院查腹部CT提示胰尾囊性肿物较前增大,约3.5×2.3cm。后于我院就诊,查血CA19-9 6.4。发病中,无腹痛、黄染等不适。体重无明显变化。 既往史:既往有频发房早,口服倍他乐克,安博诺无诉不适。
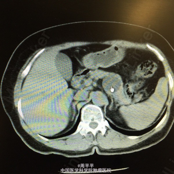
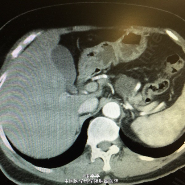
查体:全腹无压痛,未触及明显包块。 辅助检查: 腹部增强CT+三维重建:胰体部类圆形囊性密度影,大小约3.0×2.6×3.4cm,脾动、静脉受压移位。
诊断: 胰腺占位 行腹腔镜下胰体尾+脾切除。术后恢复良好。术后病理回报:胰腺粘液性囊腺瘤。
讨论:患者中老年女性,体检发现胰尾部占位,外院查腹部CT提示胰尾囊性肿物,大小约3.5×2.3cm,查血CA19-9 6.4U/ml。根据影像学检查,考虑浆液性囊腺瘤可能性大。该病为最常见的胰腺囊性肿瘤,起源于胰腺腺泡细胞,囊液清亮稀薄,富含糖原,囊壁光滑,无无恶变倾向。




