下载或打开 医联APP 查看完整评论
立即下载
打开APP
1、主诉:腹胀、纳差、少尿、伴双下肢乏力1周 2、既往史:有"陈旧性脑梗塞、广泛脑白质变性、高血压病(3级极高危)、双下肢动脉硬化、帕金森氏综合征、脂肪肝、慢性胆囊炎、右肾萎缩、痛风性关节炎史,十年前因"肾结石"行手术治疗,具体不详。
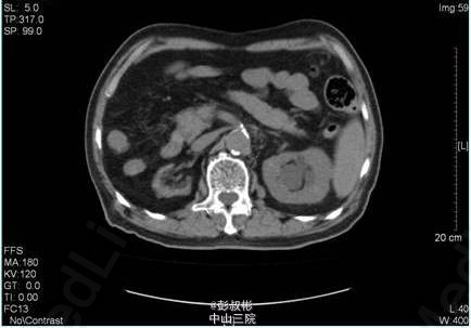
3、辅助检查:血常规:血红蛋白浓度116. g/L。生化十项:尿素氮26.110mmol/L,肌酐(酶法)736.000umol/L。泌尿系彩超,右肾慢性肾功能不全声像,右肾缩小;左肾代偿性增大可能,肾窦内隐约见引流管回声。CT:右肾萎缩,左输尿管上段结石。


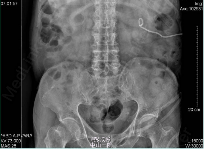
4、入院后处理:完善相关检查,考虑存在泌尿系梗阻引起的肾功能不全,于03-14行“B超引导下经皮肾穿刺造瘘术”, 03-16 复查生化十项:肌酐(酶法)151.000umol/L,尿素氮11.190mmol/L。3-15 3-18 KUB:盆腔左上部见一结节状高密度影,大小约为7mm×7mm。左肾区可见造瘘管影。 3-18于手术室全麻下行“左侧输尿管镜下钬激光碎石术”,术程顺利,术后予抗感染、补液、营养支持等对症治疗。于03-19复查生化十项:尿素氮6.550mmol/L,肌酐(酶法)103.600umol/L。复查KUB提示结石已清除,左肾造瘘管及双J管在位。


经皮肾穿刺造瘘术是引流梗阻性肾积液和积脓、改善肾功能的常用方法。目前临床上应用较广的是传统序列扩张法,应用从小至大的多根筋膜扩张管扩张造瘘通道,最后置管。但该法在有开放手术史或腰部瘢痕患者,易出现穿刺困难、扩张管移位、出血、造瘘失败等。