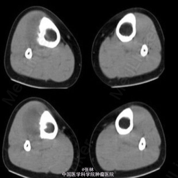
【病史临床】患者,女性,11岁,右侧胫骨上段触痛,血象及皮温不高。
影像表现:右胫骨外侧骨皮质表面低密度软组织肿块,与骨干长轴平行,基底部有条状钙化影,肿块边缘有骨膜新生骨,骨皮质内面未受侵犯,肿块与骨皮质间无透亮间隙。
术后病理结果:尤文氏肉瘤(IIb期)
点评:尤文氏肉瘤是一种原发于骨附属组织的恶性肿瘤,由髓内向骨皮质发展,生长迅速。恶性程度较骨肉瘤为大。本病以股骨、腓骨、胫骨、尺骨为多,位于骨干或干骺端。髂骨、脊椎、肋骨、肩胛骨、锁骨及足骨等也常发生。好发于10~20岁青年,男性多于女性。 主要症状为间歇性疼痛,初时不剧烈,渐渐加重而变为持续性,以夜间为甚。继疼痛之后即发生局部肿瘤。 尤文氏肉瘤症状和体征 1.疼痛是最常见的临床症状。大约有2/3的患者可有间歇性疼痛。疼痛程度不一,初发时不严重,但迅速变为持续性疼痛;根据部位的不同,局部疼痛将随肿瘤的扩散蔓延。如发生于骨盆部位,疼痛可沿下肢放射,影响髋关节活动;若发生于长骨临近关节,则出现跛行、关节僵硬,还伴有关节积液。本肿瘤很少合并有病理骨折,位于脊柱。可产生下肢的放射痛、无力和麻木感; 2.肿块:随疼痛的加剧而出现局部肿块,肿块生长迅速,表面可呈红、肿、热、痛的炎症表现,压痛显著,表面可有静脉怒张,有时肿块在软组织内生长极块,2~3个月内即可逐人头大。发生于髂骨的肿瘤,肿块可伸入盆腔内,可在下腹部或肛诊时触及肿块。 3. 全身症状:患者往往伴有全身症状,如体温升高达38~40℃,周身不适,乏力,食欲下降及贫血等。 另外,肿瘤所在部位不同,还可引起其他症状,如位于股骨下端的病变,可影响膝关节功能,并引起关节反复积液;位于肋骨的病变可引起胸腔积液等。 尤文氏肉瘤病理 ⑴肉眼所见:肿瘤多发生于骨干部,从骨干中央向干骺端蔓延,自骨肉向外破坏,肿瘤呈结节状,质地柔软,无包膜。切面呈灰白色,部分区域因出血或坏死而呈暗红色或棕色。肿瘤坏死后,可形成假囊肿,内充满液化的坏死物质。肿瘤破坏骨皮质后,可侵入软组织,在骨膜及其周围形成“洋葱皮”样成层的骨膜增生,此为X线典型表现的基础。 (2)镜下变化:瘤细胞呈圆形或多角形,形态相当一致,胞浆很少,染色浅,胞膜不清楚。细胞核呈圆形或椭圆形,大小比较一致,颗粒细,分布均匀,核分裂相多见。瘤组织内细胞丰富,细胞排列成巢状,偶见20个左右瘤细胞呈环形排列,形成“假菊形团”结构。瘤组织常有大片坏死。在肿瘤周围可有新骨形成,为反应性新生骨,而不是肿瘤本身成分。 uwr




