打开应用

急性阑尾炎伴阑尾结石

江医师   四川大学华西医院
急性阑尾炎 急性阑尾炎 阑尾炎

主诉 病史

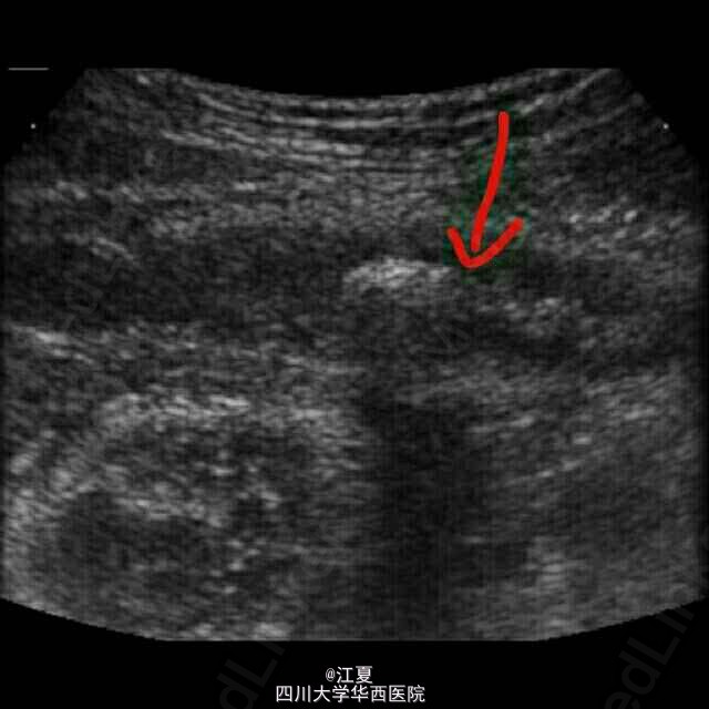
超声检查发现右下腹阑尾增厚伴积液,内含强回声团伴声影。

查体 辅查

超声检查发现右下腹阑尾增厚伴积液,内含强回声团伴声影。

诊断 处理

诊断: 急性阑尾炎伴阑尾结石。 治疗:手术切除阑尾。

随访 讨论

阑尾结石大部分需要手术,但如果症状不明显,可以继续观察,若急性阑尾炎的症状和体征加重,应尽快手术。

发布于 15-05-03 23:37

23 个评论

发送