打开应用

巨大食管裂孔疝嵌顿一例

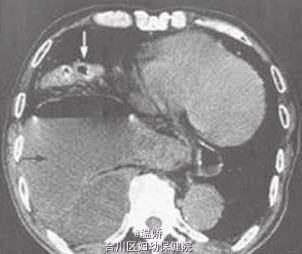
温医师   重庆市合川区妇幼保健院
食管裂孔疝

主诉 病史

男性,84岁。因“餐后突发右侧胸闷胸痛3d”来院求治。疼痛为持续性,伴恶心,无呕吐及发热。发病以来仅能进少量流质,排大便1次。既往有冠状动脉粥样硬化性心脏病史10余年,5年前曾因食管裂孔疝经左胸行疝修补术。

查体 辅查

诊断 处理

巨大食管裂孔疝。

随访 讨论

术后良好。

发布于 15-04-30 16:02

1 个评论

发送