主诉:上下颌个别牙缺失20年余,要求修复。 现病史:患者自诉上下颌个别牙因“牙周病”缺失20年余,曾于外院做活动牙修复后,自觉佩戴不适后不再佩戴,现因咀嚼能力下降,遂到我科就诊要求修复。 既往史:无心血管病、血液病、无传染病史、无药物过敏史。






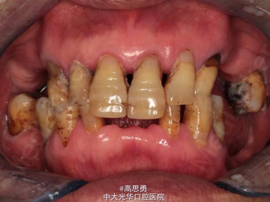
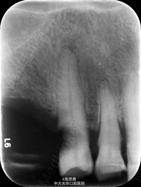
检查(包括专科检查及辅助检查): 1、全身状况良好,无全身系统性疾病,自主行动能力正常。精神心理状态无异常。 2、颌面部左右对称,面部比例协调,面部正面形态尖圆形。颞下颌关节运动无异常,开口型无异常,颞下颌关节无弹性,无压痛。 3、口内黏膜未见瘢痕,舌运动无异常。唇颊系带附着无异常,唾液分泌无异常。 4、牙龈正常,无肿胀无瘘管。 5、口内检查: #32近中移位约1mm,无明显倾斜 #44远中移位约2mm,向缺隙侧倾斜,伸长约1mm 其余缺牙间隙正常 全口牙龈退缩至根颈1/3,牙龈无肿胀无瘘管 上颌缺牙区牙槽嵴无明显吸收、下颌缺牙区牙槽嵴吸收呈低平刃状 口腔卫生状况欠佳、全口牙石多 11 12 13 14 15 16 17 21 22 23 24 25 26 27 视 存 存 存 缺 缺 缺 缺 存 存 存 缺 缺 缺 存 探 - - + - - - - - - - - - - - 叩 - - + - - - - - - - - - - - 松 - - I° - - - - - - - - - - - 楔 O O O - - - - O O O - - - - 31 32 33 34 35 36 37 41 42 43 44 45 46 47 视 缺 存 存 存 缺 缺 缺 缺 存 存 存 缺 缺 存 探 - - - - - - - - - - - - - - 叩 - - - - - - - - - - - - - - 松 - - - - - - - - - - - - - - 楔 - - O - - - - - O O O - - - 根尖X片示:13 根尖部阴影,牙颈部硬组织部分缺损 转诊牙体牙髓科后复诊 修复科第二次就诊口内检查: 11、12、13、21、22、23、33、42、43、44牙颈部见黄色充填物 13 探(-)、叩(-)、松(-),HE面见白色暂封物 口腔卫生状况尚可、牙石少,其余牙叩(-)、松(-) 根尖X片示:13 根尖部阴影,根充可 其余同前









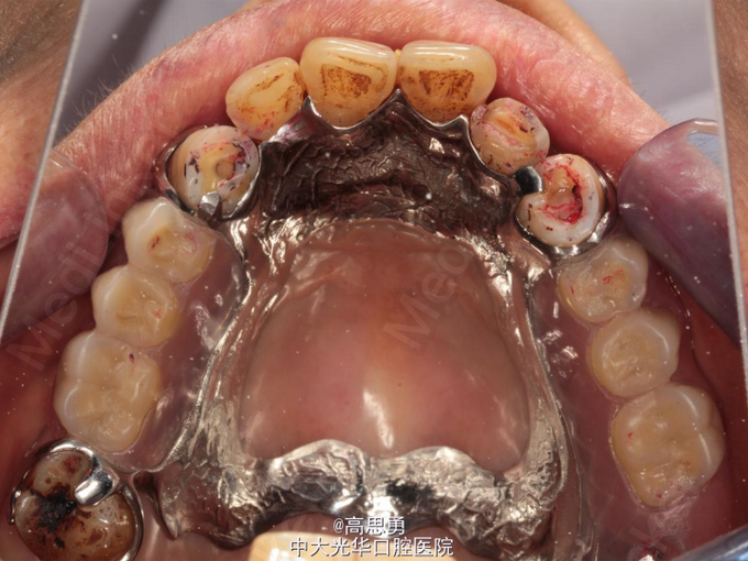
诊断: 1、牙列缺损(上颌肯氏II类I分类,下颌肯氏II类II分类) 2、#13慢性根尖周炎 3、#11、#12、#13、#21、#22、#23、#33、#42、#43、#44楔状缺损 4、慢性牙周炎 治疗计划 1、#13转牙体牙髓科做RCT 2、转牙体牙髓科对#11、#12、#13、#21、#22、#23、#33、#42、#43、#44楔状缺损 充填治疗 3、转牙周科进行牙周洁治 4、择期RPD修复 备选修复方案: 1、#13RCT后截冠后,上下颌覆盖义齿修复; 2、#13RCT后冠修复,上下颌可摘局部义齿修复; 3、#13RCT后树脂充填,上下颌可摘局部义齿修复; 4、#13拔除后,上下颌可摘局部义齿修复。 患者意愿:患者希望尽量保持#13的天然形态,要求费用尽量低,但能恢复正常咀嚼功能。 最终治疗方案:根据患者的年龄、身体状况、治疗周期、经济状况,患者最终选择方案5,即#13RCT后树脂充填,上颌结合卡环式可摘局部义齿修复;下颌可摘铸造支架式局部义齿修复。 治疗过程: 1、临床检查和#13树脂充填 对患者进行全面的口腔检查,用Z350树脂充填#13,调HE,抛光。 2、研究模型 调拌藻酸盐印模材料于2号成品托盘上取上下颌研究模,灌注石膏模型,研究分析、制定治疗计划,并制作个别托盘。 3、基牙预备 对#13近中、#23远中、#27近中、#34近中、#47近中常规制备支托凹,抛光。 4、工作模型 调拌藻酸盐印模材料于个别托盘上。做一定的边缘整塑,取上下颌研究模,灌注石膏模型。 5、试戴支架 检查支架的就位、固位可,无翘动,调HE,抛光,用蜡堤取颌位关系,上颌架,排牙,比色C4。 6、试排牙 检查义齿的就位、固位可,无翘动,观察人工牙的咬合状况,尖窝接触良好,正中颌位能重复,患者无诉不适,面容自然,外观满意。送加工厂充胶制作最终修复体。 7、试戴 检查义齿的就位、固位可,无翘动,咬合关系正确,利用咬合纸检查,上下颌尖窝接触均匀全面,抛光,患者表示满意,嘱注意事项,定期复诊。







游离端缺失修复后的不稳定现象的处理 不稳定是指义齿在行使功能中出现明显的翘起、下沉、摆动、旋转等现象。其原因是存在支点或转动轴和义齿存在游离端。其类型有平动性不稳定和转动性不稳定,平动性不稳定是由基托下组织的可让性引起的, 只要有合理的咬合设计、较大的基托面积支持及无明显的支点存在等, 此平动性不稳定就可视为均匀下沉的不稳定, 若牙合力作用能维持在基托下组织所能承受的生理限度就之内,这样的义齿可视为合理的稳定的。肯氏I、II类的牙列缺损的修复正是由于存在义齿游离端而容易出现转动性不稳定,而转动性不稳定由于杠杆作用而使作用于基牙、基托下组织的牙合力被放大,或作用力的方向被改变,从而造成对基牙、基托下组织严重伤害, 故其是义齿设计中重点克服的问题。对于游离端可摘义齿, 一般采用混合支持式或粘膜支持式的设计。如:肯氏I、II类多牙列的后牙缺失并伴有余留牙松动时,应该消除一切支点,采用粘膜支持式的义齿为宜。而肯氏类个别或少数后牙缺失且余留牙情况较好时,可在基牙近缺隙侧设计近中支托,且结合采用应力中断卡环、连接体缓冲等, 并充分利用平衡法和对抗法,采用混合支持式的义齿为宜。有学者建议,远中游离端缺失的患者,戴用可摘局部义齿一段时期后应作复查,游离端基托下沉、翘动,及时垫底消除基牙过负荷的因素。故采用合理的稳定设计,患者又注意保持口腔清洁卫生, 以及出现问题后及时修改和调整, 从而保证了牙合力分配的良好状态, 则有利于延长义齿的使用年限。